Art

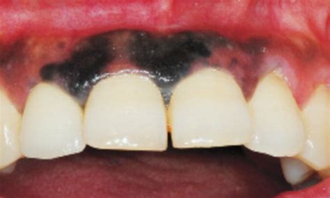
Black Dot In Mouth

Black Dot In Mouth
Black Dot In Mouth

Discovering a black dot in mouth can be alarming, but it's important to stay calm and informed. This condition can have various causes, ranging from harmless to more serious health issues. Understanding the potential reasons behind a black dot in mouth can help you determine the appropriate course of action. This blog post will explore the common causes, symptoms, and treatments for a black dot in mouth, providing you with the knowledge you need to address this concern effectively.

Common Causes of a Black Dot in Mouth

A black dot in mouth can be caused by a variety of factors. Some of the most common causes include:

  • Oral Thrush: This is a yeast infection that can cause white or black patches in the mouth. It is often accompanied by pain and difficulty swallowing.
  • Oral Cancer: While less common, a black dot in mouth can sometimes be a sign of oral cancer. It is crucial to seek medical attention if you notice any unusual changes in your mouth.
  • Melanoma: This is a type of skin cancer that can appear as a dark spot or lesion in the mouth. It is important to have any suspicious lesions examined by a healthcare professional.
  • Dental Issues: Cavities, tooth decay, or gum disease can sometimes present as dark spots or dots in the mouth. Regular dental check-ups can help prevent and treat these issues.
  • Food or Drink Stains: Certain foods and drinks, such as coffee, tea, or berries, can stain the teeth and gums, leading to the appearance of a black dot in mouth.
  • Tobacco Use: Smoking or chewing tobacco can cause dark spots and stains in the mouth. Quitting tobacco use can help improve oral health.

Symptoms Associated with a Black Dot in Mouth

The symptoms associated with a black dot in mouth can vary depending on the underlying cause. Some common symptoms include:

  • Pain or Discomfort: If the black dot is caused by an infection or injury, you may experience pain or discomfort in the affected area.
  • Swelling: Inflammation or infection can cause swelling in the mouth, making it difficult to eat or speak.
  • Bleeding: If the black dot is a result of an injury or infection, you may notice bleeding in the mouth.
  • Difficulty Swallowing: Infections or lesions in the mouth can make it difficult to swallow food or liquids.
  • Bad Breath: Infections or poor oral hygiene can lead to bad breath, which may be accompanied by a black dot in mouth.

Diagnosing a Black Dot in Mouth

If you notice a black dot in mouth, it is important to seek medical attention for a proper diagnosis. Your healthcare provider may perform the following steps to determine the cause:

  • Physical Examination: Your doctor will examine your mouth, teeth, and gums to identify any abnormalities or signs of infection.
  • Medical History: Your doctor will ask about your medical history, including any recent illnesses, medications, or lifestyle habits that may contribute to the black dot in mouth.
  • Biopsy: In some cases, a biopsy may be necessary to determine if the black dot is cancerous. This involves taking a small sample of tissue for laboratory analysis.
  • Imaging Tests: X-rays or other imaging tests may be used to assess the extent of the condition and rule out other potential causes.

πŸ“ Note: Early detection and treatment of a black dot in mouth can significantly improve outcomes and prevent complications.

Treatment Options for a Black Dot in Mouth

The treatment for a black dot in mouth will depend on the underlying cause. Some common treatment options include:

  • Antifungal Medications: For oral thrush, antifungal medications such as nystatin or fluconazole may be prescribed to clear the infection.
  • Antibiotics: If the black dot is caused by a bacterial infection, antibiotics may be prescribed to treat the infection.
  • Surgery: In cases of oral cancer or melanoma, surgery may be necessary to remove the affected tissue.
  • Radiation or Chemotherapy: These treatments may be used in conjunction with surgery to treat oral cancer or melanoma.
  • Dental Procedures: For dental issues such as cavities or gum disease, dental procedures such as fillings, root canals, or deep cleaning may be recommended.
  • Lifestyle Changes: Quitting tobacco use, maintaining good oral hygiene, and avoiding foods and drinks that stain the teeth can help prevent and treat a black dot in mouth.

Preventing a Black Dot in Mouth

Preventing a black dot in mouth involves maintaining good oral hygiene and making healthy lifestyle choices. Here are some tips to help prevent this condition:

  • Regular Dental Check-ups: Schedule regular dental check-ups to detect and treat any oral health issues early.
  • Good Oral Hygiene: Brush and floss your teeth regularly to remove plaque and bacteria that can cause infections and stains.
  • Avoid Tobacco: Quitting smoking or chewing tobacco can significantly improve your oral health and reduce the risk of a black dot in mouth.
  • Healthy Diet: Eat a balanced diet rich in fruits, vegetables, and whole grains to support overall health and oral hygiene.
  • Limit Staining Foods and Drinks: Limit your intake of foods and drinks that can stain the teeth, such as coffee, tea, and berries.

Preventing a black dot in mouth is essential for maintaining good oral health and overall well-being. By following these tips and seeking regular medical care, you can reduce the risk of developing this condition and ensure early detection and treatment if it does occur.

Here is a table summarizing the common causes, symptoms, and treatments for a black dot in mouth:

Cause Symptoms Treatment
Oral Thrush White or black patches, pain, difficulty swallowing Antifungal medications
Oral Cancer Dark spots or lesions, pain, swelling Surgery, radiation, chemotherapy
Melanoma Dark spots or lesions, pain, swelling Surgery, radiation, chemotherapy
Dental Issues Dark spots or stains, pain, swelling Dental procedures
Food or Drink Stains Dark spots or stains Good oral hygiene, avoiding staining foods and drinks
Tobacco Use Dark spots or stains, bad breath Quitting tobacco use, good oral hygiene

If you notice a black dot in mouth, it is important to seek medical attention promptly. Early detection and treatment can significantly improve outcomes and prevent complications. By understanding the common causes, symptoms, and treatments for a black dot in mouth, you can take proactive steps to maintain good oral health and overall well-being.

In summary, a black dot in mouth can be caused by a variety of factors, ranging from harmless to more serious health issues. Understanding the potential reasons behind this condition can help you determine the appropriate course of action. Regular dental check-ups, good oral hygiene, and healthy lifestyle choices can help prevent a black dot in mouth and ensure early detection and treatment if it does occur. If you notice any unusual changes in your mouth, do not hesitate to seek medical attention for a proper diagnosis and treatment.

Related Terms:

  • black spot inside of mouth
  • tiny black dot inside cheek
  • black dot inside cheek
  • painless black spot inside cheek
  • black bump inside my cheek
Facebook Twitter WhatsApp
Related Posts
Don't Miss