Art

Descending Aortic Aneurysm

Descending Aortic Aneurysm
Descending Aortic Aneurysm

Understanding the complexities of a Descending Aortic Aneurysm is crucial for both medical professionals and patients. This condition, which involves the enlargement of the aorta in the descending section, can have serious implications if left untreated. This blog post aims to provide a comprehensive overview of Descending Aortic Aneurysm, including its causes, symptoms, diagnosis, treatment options, and preventive measures.

What is a Descending Aneurysm?

A Descending Aortic Aneurysm is a condition where the aorta, the largest artery in the body, becomes weakened and bulges in the descending section. The aorta carries blood from the heart to the rest of the body, and any abnormality in this critical vessel can lead to severe health issues. The descending aorta runs from the heart down through the chest and abdomen.

Causes of Descending Aortic Aneurysm

The exact cause of a Descending Aortic Aneurysm can vary, but several factors are commonly associated with its development:

  • Atherosclerosis: The buildup of plaque in the arteries can weaken the aortic wall.
  • High Blood Pressure: Chronic hypertension can put excessive pressure on the aorta, leading to weakening.
  • Genetic Factors: Certain genetic conditions, such as Marfan syndrome and Ehlers-Danlos syndrome, can increase the risk.
  • Infections: Infections like syphilis can weaken the aortic wall.
  • Trauma: Injuries to the chest or abdomen can cause aortic damage.

Symptoms of Descending Aortic Aneurysm

Many people with a Descending Aortic Aneurysm may not experience any symptoms, especially in the early stages. However, as the aneurysm grows, symptoms may include:

  • Persistent back pain
  • Chest pain
  • Shortness of breath
  • Coughing or hoarseness
  • Difficulty swallowing

If the aneurysm ruptures, it can lead to life-threatening symptoms such as:

  • Severe abdominal or back pain
  • Rapid pulse
  • Clammy skin
  • Loss of consciousness

Diagnosis of Descending Aortic Aneurysm

Diagnosing a Descending Aortic Aneurysm typically involves a combination of medical history, physical examination, and imaging tests. Common diagnostic methods include:

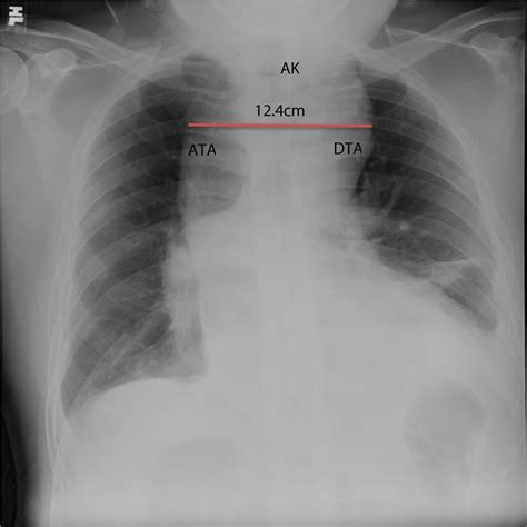
  • Chest X-ray: This can reveal a widened aorta.
  • Computed Tomography (CT) Scan: Provides detailed images of the aorta.
  • Magnetic Resonance Imaging (MRI): Offers clear images without radiation.
  • Echocardiogram: Uses sound waves to create images of the heart and aorta.
  • Angiography: Involves injecting a dye into the blood vessels to visualize the aorta.

Treatment Options for Descending Aortic Aneurysm

The treatment for a Descending Aortic Aneurysm depends on its size, location, and the patient’s overall health. Treatment options include:

  • Medications: Drugs to control blood pressure and reduce the risk of rupture.
  • Surgery: Open surgery to repair or replace the damaged section of the aorta.
  • Endovascular Repair: A minimally invasive procedure using a stent graft to reinforce the aorta.

Preventive Measures for Descending Aortic Aneurysm

While not all Descending Aortic Aneurysms can be prevented, certain lifestyle changes and medical interventions can reduce the risk:

  • Maintain a healthy blood pressure
  • Quit smoking
  • Manage cholesterol levels
  • Eat a balanced diet
  • Exercise regularly
  • Regular medical check-ups

Risk Factors for Descending Aortic Aneurysm

Several risk factors can increase the likelihood of developing a Descending Aortic Aneurysm. Understanding these factors can help in early detection and prevention:

Risk Factor Description
Age Risk increases with age, particularly after 60.
Gender Men are more likely to develop aneurysms than women.
Family History A family history of aneurysms increases the risk.
High Blood Pressure Chronic hypertension can weaken the aortic wall.
Smoking Smoking damages blood vessels and increases the risk.
High Cholesterol High cholesterol levels can lead to plaque buildup.
Obesity Excess weight can strain the heart and blood vessels.

📝 Note: Regular screening and early detection are crucial for managing Descending Aortic Aneurysm. If you have any of the above risk factors, consult your healthcare provider for appropriate screening.

Living with Descending Aortic Aneurysm

Living with a Descending Aortic Aneurysm requires careful management and regular monitoring. Patients should work closely with their healthcare team to:

  • Monitor blood pressure and cholesterol levels
  • Follow a heart-healthy diet
  • Engage in regular physical activity
  • Avoid smoking and excessive alcohol consumption
  • Attend regular follow-up appointments

Regular follow-up appointments are essential for monitoring the size and condition of the aneurysm. Imaging tests, such as CT scans or MRIs, may be recommended periodically to assess any changes.

In some cases, lifestyle modifications alone may not be sufficient, and medical interventions may be necessary. Patients should be aware of the signs of a ruptured aneurysm and seek immediate medical attention if they experience severe pain, rapid pulse, or loss of consciousness.

Support from family and friends can also play a crucial role in managing the condition. Emotional support and understanding can help patients cope with the challenges of living with a Descending Aortic Aneurysm.

Education about the condition is also important. Patients should be informed about the risks, symptoms, and treatment options. This knowledge can empower them to take an active role in their healthcare and make informed decisions.

In summary, a Descending Aortic Aneurysm is a serious condition that requires careful management and regular monitoring. Understanding the causes, symptoms, diagnosis, and treatment options can help patients and their families navigate this challenging condition. With proper care and support, many patients can lead fulfilling lives despite the diagnosis.

Related Terms:

  • aortic aneurysm symptoms
  • descending aortic aneurysm icd
  • descending aortic dilatation
  • descending aortic aneurysm size
  • descending aortic dissection
  • descending aortic aneurysm size criteria
Facebook Twitter WhatsApp
Related Posts
Don't Miss