Art

Deviated Septum Nose

Deviated Septum Nose
Deviated Septum Nose

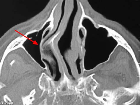
Navigating the complexities of a deviated septum nose can be a challenging journey, but understanding the condition, its symptoms, and treatment options can significantly improve your quality of life. A deviated septum occurs when the nasal septum, the wall dividing the left and right sides of the nose, is displaced to one side. This displacement can cause a range of issues, from mild discomfort to severe breathing difficulties.

Understanding a Deviated Septum Nose

A deviated septum nose is a common condition that affects many people. The nasal septum is supposed to be straight and centered, but in some individuals, it is crooked or off-center. This deviation can be present at birth or result from an injury to the nose. The severity of the deviation can vary, leading to different levels of symptoms and complications.

Symptoms of a Deviated Septum Nose

The symptoms of a deviated septum nose can range from mild to severe. Some common symptoms include:

  • Difficulty breathing through the nose
  • Nasal congestion or obstruction
  • Frequent sinus infections
  • Nosebleeds
  • Snoring
  • Sleep apnea
  • Headaches
  • Postnasal drip

These symptoms can significantly impact daily life, affecting sleep quality, productivity, and overall well-being. If you experience any of these symptoms, it is essential to consult a healthcare professional for a proper diagnosis.

Diagnosing a Deviated Septum Nose

Diagnosing a deviated septum nose typically involves a physical examination and a review of your medical history. Your healthcare provider may use various diagnostic tools to assess the severity of the deviation. These tools can include:

  • Nasal endoscopy: A thin, flexible tube with a camera is inserted into the nose to visualize the nasal passages.
  • Imaging tests: X-rays, CT scans, or MRI scans may be used to get a detailed view of the nasal structure.
  • Rhinomanometry: This test measures airflow through the nose to assess the extent of the obstruction.

Based on the findings, your healthcare provider will determine the best course of treatment for your deviated septum nose.

Treatment Options for a Deviated Septum Nose

Treatment for a deviated septum nose can vary depending on the severity of the symptoms and the individual's overall health. Options range from conservative management to surgical intervention. Here are some common treatment approaches:

Non-Surgical Treatments

For mild cases, non-surgical treatments may be sufficient to manage symptoms. These can include:

  • Nasal decongestants: Over-the-counter decongestant sprays or pills can help reduce nasal congestion.
  • Saline nasal sprays: These can help clear the nasal passages and reduce inflammation.
  • Allergy medications: If allergies are contributing to nasal congestion, antihistamines or nasal corticosteroids may be prescribed.

These treatments can provide temporary relief but may not address the underlying structural issue.

Surgical Treatment

For more severe cases, surgical intervention may be necessary. The most common procedure for correcting a deviated septum nose is septoplasty. This surgery involves straightening the nasal septum to improve airflow and reduce symptoms. Here is an overview of the procedure:

  • Anesthesia: The surgery is typically performed under general anesthesia.
  • Incision: The surgeon makes an incision inside the nose to access the septum.
  • Straightening the septum: The deviated portions of the septum are straightened and repositioned.
  • Closure: The incision is closed with dissolvable sutures.
  • Recovery: Most patients can return home the same day, but full recovery may take several weeks.

In some cases, septoplasty may be combined with other procedures, such as rhinoplasty (nose reshaping) or turbinate reduction, to address additional nasal issues.

📝 Note: It is essential to discuss the potential risks and benefits of surgery with your healthcare provider before proceeding with septoplasty.

Recovery and Post-Operative Care

Recovery from septoplasty typically involves several weeks of healing. Here are some key points to consider during the recovery period:

  • Pain management: Over-the-counter pain relievers can help manage discomfort.
  • Avoiding strenuous activity: It is important to avoid heavy lifting, strenuous exercise, and blowing your nose for at least a week.
  • Keeping the head elevated: Sleeping with your head elevated can help reduce swelling.
  • Following up with your doctor: Regular follow-up appointments are crucial to monitor healing and address any concerns.

Most patients experience significant improvement in symptoms within a few weeks, but full recovery can take up to several months.

Complications and Risks

As with any surgical procedure, septoplasty carries certain risks and potential complications. These can include:

  • Bleeding
  • Infection
  • Adverse reaction to anesthesia
  • Persistent nasal obstruction
  • Changes in the shape of the nose
  • Septal perforation (a hole in the septum)

Your healthcare provider will discuss these risks with you and take steps to minimize them. It is important to follow all pre- and post-operative instructions carefully to ensure a smooth recovery.

Living with a Deviated Septum Nose

Living with a deviated septum nose can be challenging, but with the right treatment and management strategies, many people find significant relief from their symptoms. Here are some tips for managing a deviated septum nose:

  • Stay hydrated: Drinking plenty of fluids can help keep nasal passages moist and reduce congestion.
  • Use a humidifier: A humidifier can add moisture to the air, making it easier to breathe.
  • Avoid irritants: Stay away from allergens and irritants that can exacerbate nasal symptoms.
  • Maintain good sleep hygiene: Ensuring a good night's sleep can help reduce fatigue and improve overall well-being.

If you are considering surgical treatment, it is essential to weigh the benefits and risks carefully. Consulting with a qualified healthcare provider can help you make an informed decision about the best course of action for your deviated septum nose.

In some cases, a deviated septum nose may be accompanied by other nasal conditions, such as nasal polyps or chronic sinusitis. Treating these conditions concurrently can improve overall nasal health and symptom management.

When to Seek Medical Attention

If you experience any of the following symptoms, it is important to seek medical attention promptly:

  • Severe nasal bleeding
  • Fever or signs of infection
  • Difficulty breathing
  • Persistent pain or discomfort

Prompt medical attention can help prevent complications and ensure a successful recovery.

In some cases, a deviated septum nose may be accompanied by other nasal conditions, such as nasal polyps or chronic sinusitis. Treating these conditions concurrently can improve overall nasal health and symptom management.

Preventing a Deviated Septum Nose

While some cases of a deviated septum nose are present at birth, others result from injuries or trauma to the nose. Taking steps to protect your nose can help prevent a deviated septum. Here are some tips:

  • Wear protective gear: When participating in sports or activities with a risk of facial injury, wear a helmet or other protective gear.
  • Avoid nose-picking: Picking your nose can cause injury and increase the risk of a deviated septum.
  • Seek prompt treatment for injuries: If you experience a nasal injury, seek medical attention promptly to minimize the risk of complications.

By taking these precautions, you can reduce the risk of developing a deviated septum nose and maintain optimal nasal health.

In some cases, a deviated septum nose may be accompanied by other nasal conditions, such as nasal polyps or chronic sinusitis. Treating these conditions concurrently can improve overall nasal health and symptom management.

Alternative Treatments for a Deviated Septum Nose

In addition to traditional medical treatments, some people explore alternative therapies to manage symptoms of a deviated septum nose. While these treatments may not address the underlying structural issue, they can provide relief from symptoms. Some alternative treatments include:

  • Acupuncture: This traditional Chinese medicine practice involves inserting thin needles into specific points on the body to relieve symptoms.
  • Herbal remedies: Certain herbs, such as eucalyptus and peppermint, can help reduce nasal congestion and inflammation.
  • Yoga and breathing exercises: These practices can help improve breathing and reduce stress, which can exacerbate nasal symptoms.

It is important to consult with a healthcare provider before trying any alternative treatments to ensure they are safe and appropriate for your condition.

In some cases, a deviated septum nose may be accompanied by other nasal conditions, such as nasal polyps or chronic sinusitis. Treating these conditions concurrently can improve overall nasal health and symptom management.

Long-Term Management of a Deviated Septum Nose

Managing a deviated septum nose often requires a long-term approach. Regular follow-ups with your healthcare provider can help monitor your condition and adjust treatment as needed. Here are some strategies for long-term management:

  • Regular check-ups: Schedule regular appointments with your healthcare provider to assess your nasal health and address any concerns.
  • Maintain a healthy lifestyle: Eating a balanced diet, staying hydrated, and getting regular exercise can improve overall health and reduce nasal symptoms.
  • Avoid triggers: Identify and avoid allergens and irritants that can exacerbate nasal symptoms.
  • Stay informed: Educate yourself about your condition and stay up-to-date on the latest treatment options.

By taking a proactive approach to managing your deviated septum nose, you can improve your quality of life and reduce the impact of symptoms.

In some cases, a deviated septum nose may be accompanied by other nasal conditions, such as nasal polyps or chronic sinusitis. Treating these conditions concurrently can improve overall nasal health and symptom management.

Deviated Septum Nose and Sleep Apnea

A deviated septum nose can contribute to sleep apnea, a condition characterized by pauses in breathing during sleep. Sleep apnea can lead to daytime fatigue, difficulty concentrating, and other health issues. If you have a deviated septum nose and experience symptoms of sleep apnea, it is important to consult a healthcare provider for a proper diagnosis and treatment.

Treatment for sleep apnea may include lifestyle changes, such as weight loss and avoiding alcohol and sedatives, as well as medical interventions, such as continuous positive airway pressure (CPAP) therapy or oral appliances. In some cases, correcting a deviated septum nose through septoplasty can also improve sleep apnea symptoms.

In some cases, a deviated septum nose may be accompanied by other nasal conditions, such as nasal polyps or chronic sinusitis. Treating these conditions concurrently can improve overall nasal health and symptom management.

Deviated Septum Nose and Allergies

Allergies can exacerbate symptoms of a deviated septum nose, leading to increased nasal congestion and discomfort. If you have allergies and a deviated septum nose, it is important to manage both conditions effectively. Here are some strategies for managing allergies:

  • Identify triggers: Work with your healthcare provider to identify the specific allergens that trigger your symptoms.
  • Avoid triggers: Take steps to avoid exposure to known allergens, such as dust mites, pollen, and pet dander.
  • Medications: Use allergy medications, such as antihistamines or nasal corticosteroids, to manage symptoms.
  • Immunotherapy: Consider allergy shots or sublingual immunotherapy to desensitize your immune system to specific allergens.

By managing your allergies effectively, you can reduce the impact of a deviated septum nose and improve your overall quality of life.

In some cases, a deviated septum nose may be accompanied by other nasal conditions, such as nasal polyps or chronic sinusitis. Treating these conditions concurrently can improve overall nasal health and symptom management.

Deviated Septum Nose and Sinus Infections

A deviated septum nose can increase the risk of sinus infections, as the structural abnormality can trap mucus and bacteria in the nasal passages. If you experience frequent sinus infections, it is important to consult a healthcare provider for proper diagnosis and treatment. Here are some strategies for managing sinus infections:

  • Saline nasal irrigation: Use a saline solution to rinse your nasal passages and remove mucus and irritants.
  • Steam inhalation: Inhale steam to help open your nasal passages and reduce congestion.
  • Medications: Use over-the-counter or prescription medications, such as decongestants, antihistamines, or antibiotics, to manage symptoms and treat infections.
  • Surgery: In some cases, surgical intervention, such as septoplasty or sinus surgery, may be necessary to correct the structural abnormality and reduce the risk of infections.

By managing sinus infections effectively, you can reduce the impact of a deviated septum nose and improve your overall nasal health.

In some cases, a deviated septum nose may be accompanied by other nasal conditions, such as nasal polyps or chronic sinusitis. Treating these conditions concurrently can improve overall nasal health and symptom management.

Deviated Septum Nose and Nasal Polyps

Nasal polyps are benign growths that can develop in the nasal passages, often as a result of chronic inflammation. A deviated septum nose can contribute to the development of nasal polyps by trapping mucus and irritants in the nasal passages. If you have a deviated septum nose and experience symptoms of nasal polyps, it is important to consult a healthcare provider for proper diagnosis and treatment. Here are some strategies for managing nasal polyps:

  • Medications: Use nasal corticosteroids or other medications to reduce inflammation and shrink the polyps.
  • Saline nasal irrigation: Use a saline solution to rinse your nasal passages and remove mucus and irritants.
  • Surgery: In some cases, surgical intervention, such as polypectomy or septoplasty, may be necessary to remove the polyps and correct the structural abnormality.

By managing nasal polyps effectively, you can reduce the impact of a deviated septum nose and improve your overall nasal health.

In some cases, a deviated septum nose may be accompanied by other nasal conditions, such as nasal polyps or chronic sinusitis. Treating these conditions concurrently can improve overall nasal health and symptom management.

Deviated Septum Nose and Chronic Sinusitis

Chronic sinusitis is a condition characterized by persistent inflammation of the sinuses, often accompanied by symptoms such as nasal congestion, facial pain, and postnasal drip. A deviated septum nose can contribute to chronic sinusitis by trapping mucus and irritants in the nasal passages. If you have a deviated septum nose and experience symptoms of chronic sinusitis, it is important to consult a healthcare provider for proper diagnosis and treatment. Here are some strategies for managing chronic sinusitis:

  • Medications: Use over-the-counter or prescription medications, such as decongestants, antihistamines, or nasal corticosteroids, to manage symptoms and reduce inflammation.
  • Saline nasal irrigation: Use a saline solution to rinse your nasal passages and remove mucus and irritants.
  • Steam inhalation: Inhale steam to help open your nasal passages and reduce congestion.
  • Surgery: In some cases, surgical intervention, such as septoplasty or sinus surgery, may be necessary to correct the structural abnormality and reduce the risk of infections.

By managing chronic sinusitis effectively, you can reduce the impact of a deviated septum nose and improve your overall nasal health.

In some cases, a deviated septum nose may be accompanied by other nasal conditions, such as nasal polyps or chronic sinusitis. Treating these conditions concurrently can improve overall nasal health and symptom management.

Deviated Septum Nose and Nasal Congestion

Nasal congestion is a common symptom of a deviated septum nose, characterized by a feeling of stuffiness or blockage in the nasal passages. If you experience nasal congestion, it is important to consult a healthcare provider for proper diagnosis and treatment. Here are some strategies for managing nasal congestion:

  • Nasal decongestants: Use over-the-counter decongestant sprays or pills to reduce nasal congestion.
  • Saline nasal sprays: Use saline nasal sprays to clear the nasal passages and reduce inflammation.
  • Steam inhalation: Inhale steam to help open your nasal passages and reduce congestion.
  • Allergy medications: If allergies are contributing to nasal congestion, use antihistamines or nasal corticosteroids to manage symptoms.

By managing nasal congestion effectively, you can reduce the impact of a deviated septum nose and improve your overall quality of life.

In some cases, a deviated septum nose may be accompanied by other nasal conditions, such as nasal polyps or chronic sinusitis. Treating these conditions concurrently can improve overall nasal health and symptom management.

Deviated Septum Nose and Snoring

Snoring is a common symptom of a deviated septum nose, as the structural abnormality can obstruct airflow and cause vibrations in the nasal passages. If you experience snoring, it is important to consult a healthcare provider for proper diagnosis and treatment. Here are some strategies for managing snoring:

  • Lifestyle changes: Maintain a healthy weight, avoid alcohol and sedatives, and sleep on your side to reduce snoring.
  • Oral appliances: Use oral appliances, such as mandibular advancement devices, to reposition the jaw and open the airway.
  • Continuous positive airway pressure (CPAP) therapy: Use CPAP therapy to deliver pressurized air through a mask, keeping the airway open during sleep.
  • Surgery: In some cases, surgical intervention, such as septoplasty or uvulopalatopharyngoplasty (UPPP), may be necessary to correct the structural abnormality and reduce snoring.

By managing snoring effectively, you can reduce the impact of a deviated septum nose and improve your overall quality of life.

In some cases, a deviated septum nose may be accompanied by other nasal conditions, such as nasal polyps or chronic sinus

Related Terms:

  • deviated septum side effects
  • deviated septum how to fix
  • deviated septum symptoms and treatment
  • deviated septum nose job cost
  • deviated septum nose surgery
  • deviated septum chart
Facebook Twitter WhatsApp
Related Posts
Don't Miss