Art

Diaphragmatic Hernia In Adults

Diaphragmatic Hernia In Adults
Diaphragmatic Hernia In Adults

Diaphragmatic hernia in adults is a condition that occurs when an internal body part, such as the stomach or intestines, pushes through an opening or weakness in the diaphragm. The diaphragm is a large muscle that separates the chest from the abdomen and plays a crucial role in breathing. This condition can lead to various symptoms and complications, making it essential to understand its causes, symptoms, diagnosis, and treatment options.

Understanding Diaphragmatic Hernia in Adults

Diaphragmatic hernia in adults can be congenital or acquired. Congenital diaphragmatic hernias are present at birth and are often diagnosed in infancy. Acquired diaphragmatic hernias, on the other hand, develop later in life and can result from trauma, surgery, or other medical conditions. The most common types of diaphragmatic hernias in adults include:

  • Hiatal Hernia: This occurs when part of the stomach pushes up through the diaphragm into the chest. It is the most common type of diaphragmatic hernia.
  • Paraesophageal Hernia: This type of hernia occurs when part of the stomach pushes through the diaphragm next to the esophagus.
  • Traumatic Diaphragmatic Hernia: This results from injury or trauma to the diaphragm, often due to a car accident or other severe impact.

Causes of Diaphragmatic Hernia in Adults

Diaphragmatic hernia in adults can be caused by various factors, including:

  • Trauma: Injuries to the chest or abdomen, such as those from car accidents or falls, can weaken the diaphragm and lead to a hernia.
  • Surgery: Previous surgeries in the chest or abdomen can increase the risk of developing a diaphragmatic hernia.
  • Weakened Diaphragm: Conditions that weaken the diaphragm, such as chronic coughing or heavy lifting, can contribute to the development of a hernia.
  • Increased Abdominal Pressure: Activities that increase pressure in the abdomen, such as straining during bowel movements or lifting heavy objects, can also lead to a hernia.

Symptoms of Diaphragmatic Hernia in Adults

The symptoms of diaphragmatic hernia in adults can vary widely depending on the type and severity of the hernia. Some people may not experience any symptoms at all, while others may have severe discomfort. Common symptoms include:

  • Chest Pain: Pain or discomfort in the chest, especially after eating or lying down.
  • Shortness of Breath: Difficulty breathing, which can worsen with physical activity.
  • Heartburn and Acid Reflux: Burning sensation in the chest, often accompanied by a sour taste in the mouth.
  • Nausea and Vomiting: Feeling sick to the stomach or vomiting, especially after eating.
  • Abdominal Pain: Discomfort or pain in the abdomen, which can be severe in some cases.

In some cases, a diaphragmatic hernia can lead to serious complications, such as:

  • Strangulation: The hernia can trap part of the intestine, cutting off blood supply and leading to tissue death.
  • Perforation: The hernia can cause a hole in the stomach or intestine, leading to infection and sepsis.
  • Respiratory Distress: The hernia can compress the lungs, making it difficult to breathe.

Diagnosing Diaphragmatic Hernia in Adults

Diagnosing diaphragmatic hernia in adults involves a combination of medical history, physical examination, and diagnostic tests. The diagnostic process typically includes:

  • Medical History: The doctor will ask about symptoms, medical history, and any recent injuries or surgeries.
  • Physical Examination: The doctor will perform a physical exam to check for signs of a hernia, such as tenderness or swelling in the abdomen or chest.
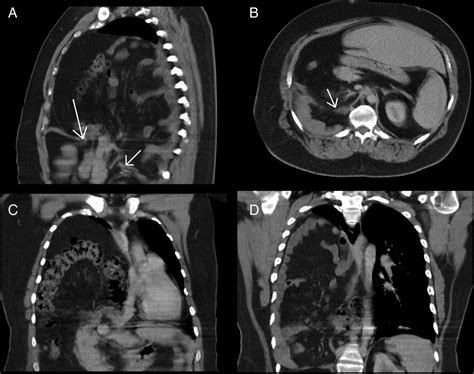
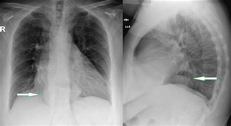
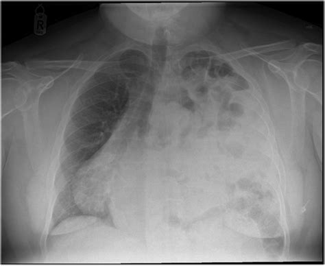
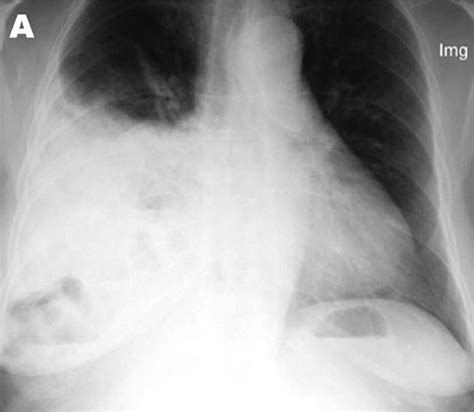
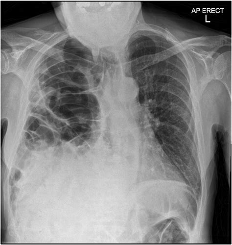
  • Imaging Tests: Various imaging tests can help confirm the diagnosis, including:
Test Description
Chest X-ray: Provides a basic view of the chest and can show the presence of a hernia.
CT Scan: Offers detailed images of the chest and abdomen, helping to identify the location and size of the hernia.
MRI: Provides detailed images of soft tissues and can help identify the hernia and its effects on surrounding structures.
Upper Endoscopy: Allows the doctor to view the esophagus and stomach using a flexible tube with a camera.

In some cases, additional tests may be required to assess the severity of the hernia and plan the appropriate treatment.

📝 Note: Early diagnosis and treatment of diaphragmatic hernia in adults can prevent serious complications and improve outcomes.

Treatment Options for Diaphragmatic Hernia in Adults

The treatment for diaphragmatic hernia in adults depends on the type, size, and severity of the hernia, as well as the presence of symptoms. Treatment options include:

  • Watchful Waiting: For small, asymptomatic hernias, the doctor may recommend monitoring the condition without immediate treatment.
  • Medications: Medications such as proton pump inhibitors (PPIs) or H2 blockers can help manage symptoms like heartburn and acid reflux.
  • Lifestyle Changes: Changes in diet and lifestyle, such as avoiding trigger foods, eating smaller meals, and avoiding heavy lifting, can help manage symptoms.
  • Surgery: Surgical repair is often recommended for larger hernias or those causing symptoms. The surgery can be performed laparoscopically or through open surgery, depending on the individual case.

Laparoscopic surgery is a minimally invasive procedure that involves making small incisions in the abdomen and using specialized tools to repair the hernia. Open surgery involves making a larger incision and directly repairing the hernia. The choice of surgical approach depends on the size and location of the hernia, as well as the patient's overall health.

In some cases, a mesh may be used to reinforce the repair and reduce the risk of recurrence. The mesh is a synthetic material that provides additional support to the weakened area of the diaphragm.

📝 Note: Surgery for diaphragmatic hernia in adults is generally safe and effective, but it carries risks such as infection, bleeding, and recurrence of the hernia.

Recovery and Follow-Up Care

Recovery from surgery for diaphragmatic hernia in adults typically involves a hospital stay of a few days, followed by a period of rest and gradual return to normal activities. The recovery process may include:

  • Pain Management: Medications to manage post-operative pain and discomfort.
  • Activity Restrictions: Avoiding heavy lifting and strenuous activities for several weeks.
  • Follow-Up Appointments: Regular check-ups with the doctor to monitor healing and address any concerns.
  • Dietary Changes: Following a diet that promotes healing and avoids triggering symptoms.

Follow-up care is essential to ensure proper healing and to monitor for any complications. Regular check-ups with the doctor can help identify any issues early and address them promptly.

In some cases, additional tests or procedures may be recommended to assess the effectiveness of the treatment and to monitor for recurrence of the hernia.

📝 Note: Adhering to post-operative instructions and attending follow-up appointments can help ensure a successful recovery and reduce the risk of complications.

Preventing Diaphragmatic Hernia in Adults

While not all cases of diaphragmatic hernia in adults can be prevented, there are steps that can be taken to reduce the risk. These include:

  • Avoiding Heavy Lifting: Lifting heavy objects can increase pressure in the abdomen and weaken the diaphragm.
  • Maintaining a Healthy Weight: Excess weight can put additional strain on the diaphragm and increase the risk of a hernia.
  • Managing Chronic Cough: Conditions that cause chronic coughing, such as asthma or bronchitis, should be managed to reduce strain on the diaphragm.
  • Avoiding Smoking: Smoking can weaken the diaphragm and increase the risk of a hernia.

Regular exercise and a balanced diet can also help maintain overall health and reduce the risk of developing a diaphragmatic hernia.

In cases where a diaphragmatic hernia is diagnosed, early intervention and appropriate treatment can help prevent complications and improve outcomes.

It is important to consult with a healthcare provider for personalized advice and treatment options tailored to individual needs.

Diaphragmatic hernia in adults is a condition that requires careful management and treatment to prevent complications and improve quality of life. Understanding the causes, symptoms, diagnosis, and treatment options can help individuals make informed decisions about their health and well-being.

By taking proactive steps to manage symptoms and seek appropriate treatment, individuals with diaphragmatic hernia can lead active and fulfilling lives.

Related Terms:

  • diaphragm hernia symptoms in adults
  • diaphragmatic hernia without obstruction symptoms
  • diaphragmatic hernia repair in adults
  • diaphragmatic hernia in women
  • acquired diaphragmatic hernia in adults
  • adult diaphragmatic hernia symptoms
Facebook Twitter WhatsApp
Related Posts
Don't Miss