Art

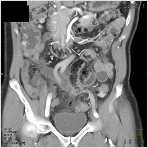
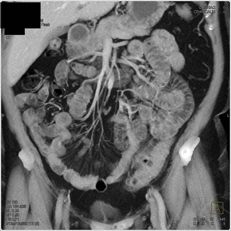
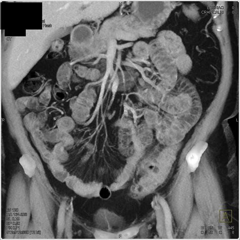
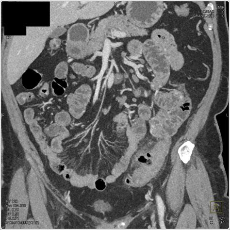
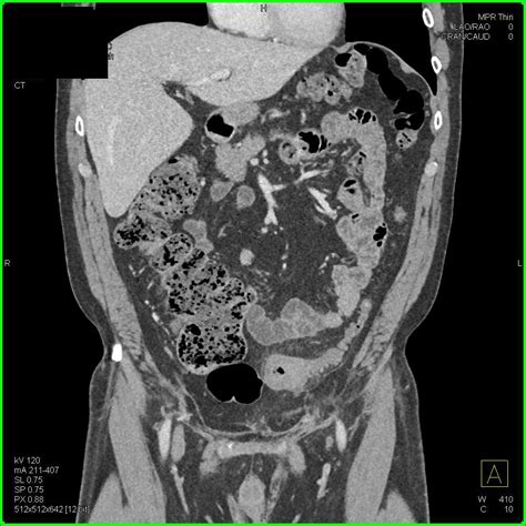
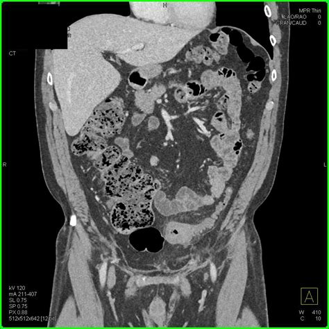
Diverticulitis Sigmoid Colon

Diverticulitis Sigmoid Colon
Diverticulitis Sigmoid Colon

Diverticulitis sigmoid colon is a condition that affects the sigmoid colon, a part of the large intestine. It occurs when small, bulging pouches (diverticula) in the colon become inflamed or infected. This condition can cause significant discomfort and, if left untreated, may lead to serious complications. Understanding the causes, symptoms, diagnosis, and treatment options for diverticulitis sigmoid colon is crucial for effective management and prevention.

Understanding Diverticulitis Sigmoid Colon

Diverticulitis sigmoid colon is a specific form of diverticulitis that affects the sigmoid colon, which is the S-shaped part of the large intestine located just before the rectum. Diverticula are small, pouch-like structures that can form in the walls of the colon. When these pouches become inflamed or infected, it results in diverticulitis. The sigmoid colon is particularly susceptible to this condition due to its location and the pressure it experiences from the movement of stool.

Causes of Diverticulitis Sigmoid Colon

The exact cause of diverticulitis sigmoid colon is not fully understood, but several factors are believed to contribute to its development:

  • Diet: A low-fiber diet can lead to constipation and straining during bowel movements, which increases pressure in the colon and can cause diverticula to form.
  • Aging: The risk of developing diverticulitis increases with age, as the colon walls can weaken over time.
  • Obesity: Excess weight can put additional pressure on the colon, increasing the likelihood of diverticula formation.
  • Smoking: Smoking can weaken the colon walls and increase the risk of diverticulitis.
  • Sedentary Lifestyle: Lack of physical activity can contribute to constipation and increased pressure in the colon.

Symptoms of Diverticulitis Sigmoid Colon

The symptoms of diverticulitis sigmoid colon can vary from mild to severe. Common symptoms include:

  • Abdominal Pain: Persistent pain, often in the lower left side of the abdomen, is a hallmark symptom.
  • Fever: A low-grade fever may accompany the abdominal pain.
  • Changes in Bowel Habits: Constipation or diarrhea may occur, and there may be blood in the stool.
  • Nausea and Vomiting: Some individuals may experience nausea and vomiting.
  • Abdominal Tenderness: The abdomen may feel tender to the touch, especially in the lower left quadrant.

In severe cases, symptoms may include:

  • Severe Abdominal Pain: Intense pain that may radiate to the back or groin.
  • High Fever: A high fever may indicate a more serious infection.
  • Chills: Shivering and chills may accompany the fever.
  • Bloody Stool: Significant bleeding in the stool.

Diagnosing Diverticulitis Sigmoid Colon

Diagnosing diverticulitis sigmoid colon involves a combination of medical history, physical examination, and diagnostic tests. The diagnostic process typically includes:

  • Medical History: The doctor will ask about symptoms, diet, and any family history of digestive disorders.
  • Physical Examination: The doctor will examine the abdomen for tenderness and signs of infection.
  • Blood Tests: Blood tests can help detect signs of infection, such as an elevated white blood cell count.
  • Imaging Tests: Imaging tests such as a CT scan or MRI can provide detailed images of the colon and help confirm the diagnosis.
  • Colonoscopy: In some cases, a colonoscopy may be performed to directly visualize the colon and identify diverticula.

Treatment Options for Diverticulitis Sigmoid Colon

The treatment for diverticulitis sigmoid colon depends on the severity of the condition. Mild cases can often be managed with conservative measures, while more severe cases may require hospitalization and surgical intervention.

Conservative Treatment

For mild to moderate cases of diverticulitis sigmoid colon, conservative treatment options may include:

  • Antibiotics: Oral antibiotics may be prescribed to treat the infection.
  • Liquid Diet: A clear liquid diet may be recommended to rest the colon and reduce inflammation.
  • Pain Management: Over-the-counter pain relievers or prescription medications may be used to manage pain.
  • Hydration: Staying hydrated is crucial to help the body recover.

📝 Note: It is important to follow the doctor's instructions regarding diet and medication to ensure effective treatment.

Surgical Treatment

In severe cases or when complications arise, surgical intervention may be necessary. Surgical options include:

  • Laparoscopic Surgery: A minimally invasive procedure that involves making small incisions in the abdomen to remove the affected portion of the colon.
  • Open Surgery: A more invasive procedure that involves making a larger incision in the abdomen to access and remove the affected colon.
  • Colostomy: In some cases, a temporary or permanent colostomy may be performed to divert stool away from the affected area, allowing the colon to heal.

Surgical treatment is typically reserved for cases where:

  • There is a perforation or abscess in the colon.
  • The infection does not respond to antibiotics.
  • There are recurrent episodes of diverticulitis.

Preventing Diverticulitis Sigmoid Colon

While diverticulitis sigmoid colon cannot always be prevented, there are several steps that can be taken to reduce the risk of developing this condition:

  • High-Fiber Diet: Consuming a diet rich in fiber can help prevent constipation and reduce pressure in the colon.
  • Hydration: Drinking plenty of water can help keep the stool soft and easy to pass.
  • Regular Exercise: Engaging in regular physical activity can help promote healthy bowel movements.
  • Avoiding Smoking: Quitting smoking can reduce the risk of diverticulitis.
  • Maintaining a Healthy Weight: Keeping a healthy weight can reduce pressure on the colon.

Complications of Diverticulitis Sigmoid Colon

If left untreated, diverticulitis sigmoid colon can lead to several serious complications, including:

  • Perforation: A hole in the colon wall can allow stool to leak into the abdominal cavity, leading to peritonitis.
  • Abscess: An infected pocket of pus can form near the colon.
  • Fistula: An abnormal connection can form between the colon and another organ, such as the bladder or vagina.
  • Bowel Obstruction: Inflammation and scarring can narrow the colon, leading to a blockage.
  • Sepsis: A severe infection that spreads throughout the body can be life-threatening.

Prompt diagnosis and treatment are essential to prevent these complications and ensure a positive outcome.

Living with Diverticulitis Sigmoid Colon

Living with diverticulitis sigmoid colon requires ongoing management and lifestyle adjustments. Here are some tips for managing the condition:

  • Follow a High-Fiber Diet: Continue to consume a diet rich in fiber to prevent constipation and reduce the risk of flare-ups.
  • Stay Hydrated: Drink plenty of water to keep the stool soft and easy to pass.
  • Exercise Regularly: Engage in regular physical activity to promote healthy bowel movements.
  • Avoid Trigger Foods: Identify and avoid foods that trigger symptoms, such as spicy or fatty foods.
  • Manage Stress: Stress can exacerbate symptoms, so finding ways to manage stress, such as through meditation or yoga, can be beneficial.

Regular follow-ups with a healthcare provider are essential to monitor the condition and adjust treatment as needed.

Diverticulitis sigmoid colon is a manageable condition with the right approach. By understanding the causes, symptoms, and treatment options, individuals can take proactive steps to prevent flare-ups and maintain a healthy lifestyle. Early diagnosis and prompt treatment are crucial for preventing complications and ensuring a positive outcome. With proper management, individuals with diverticulitis sigmoid colon can lead active and fulfilling lives.

Related Terms:

  • does everyone have diverticulosis
  • diverticulitis sigmoid colon resection
  • diverticulitis sigmoid colon pain
  • diverticulosis sigmoid colon and descending
  • diverticulitis sigmoid colon surgery
  • sigmoid colon diverticulosis symptoms
Facebook Twitter WhatsApp
Related Posts
Don't Miss