Art

Glenohumeral Joint Effusion

Glenohumeral Joint Effusion
Glenohumeral Joint Effusion

Understanding the complexities of the shoulder joint, particularly conditions like Glenohumeral Joint Effusion, is crucial for anyone dealing with shoulder pain or mobility issues. The Glenohumeral Joint, commonly known as the shoulder joint, is a ball-and-socket joint that allows for a wide range of motion. However, this flexibility comes with a risk of various injuries and conditions, including effusion.

Understanding the Glenohumeral Joint

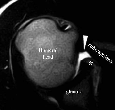
The Glenohumeral Joint is formed by the articulation of the head of the humerus (upper arm bone) with the glenoid cavity of the scapula (shoulder blade). This joint is stabilized by a combination of muscles, ligaments, and the labrum, a fibrous cartilage that deepens the glenoid cavity. The joint is surrounded by a capsule that contains synovial fluid, which lubricates the joint and reduces friction during movement.

What is Glenohumeral Joint Effusion?

Glenohumeral Joint Effusion refers to the accumulation of excess fluid within the shoulder joint. This condition can be caused by various factors, including injury, inflammation, infection, or underlying medical conditions such as arthritis. The excess fluid can lead to pain, swelling, and reduced range of motion, significantly impacting daily activities.

Causes of Glenohumeral Joint Effusion

The causes of Glenohumeral Joint Effusion can be diverse and often require a thorough medical evaluation to determine the underlying issue. Some of the common causes include:

  • Trauma or Injury: Direct trauma to the shoulder, such as a fall or a sports injury, can lead to effusion.
  • Inflammation: Conditions like bursitis or tendinitis can cause inflammation and fluid buildup.
  • Infection: Infectious agents can invade the joint, leading to septic arthritis and effusion.
  • Arthritis: Both osteoarthritis and rheumatoid arthritis can cause joint inflammation and effusion.
  • Overuse: Repetitive movements, especially in athletes or individuals with physically demanding jobs, can lead to effusion.

Symptoms of Glenohumeral Joint Effusion

The symptoms of Glenohumeral Joint Effusion can vary depending on the underlying cause and the severity of the condition. Common symptoms include:

  • Pain: Persistent or intermittent pain in the shoulder area.
  • Swelling: Visible swelling and enlargement of the shoulder joint.
  • Stiffness: Reduced range of motion and stiffness in the shoulder.
  • Tenderness: Tenderness to touch or pressure on the shoulder.
  • Warmth: Increased warmth in the affected area, which may indicate inflammation.

Diagnosing Glenohumeral Joint Effusion

Diagnosing Glenohumeral Joint Effusion involves a combination of physical examination, medical history, and diagnostic tests. The diagnostic process typically includes:

  • Physical Examination: A thorough examination of the shoulder to assess range of motion, swelling, and tenderness.
  • Medical History: A detailed medical history to identify any underlying conditions or recent injuries.
  • Imaging Tests: X-rays, MRI, or ultrasound to visualize the joint and detect any abnormalities.
  • Laboratory Tests: Blood tests or joint fluid analysis to rule out infection or inflammation.

Treatment Options for Glenohumeral Joint Effusion

The treatment of Glenohumeral Joint Effusion depends on the underlying cause and the severity of the condition. Common treatment options include:

  • Rest and Ice: Resting the affected shoulder and applying ice to reduce swelling and pain.
  • Medications: Over-the-counter pain relievers such as ibuprofen or prescription medications to manage pain and inflammation.
  • Physical Therapy: Exercises to improve range of motion, strength, and flexibility.
  • Corticosteroid Injections: Injections to reduce inflammation and pain.
  • Aspiration: Draining the excess fluid from the joint to relieve pressure and discomfort.
  • Surgery: In severe cases, surgical intervention may be necessary to repair damaged tissues or correct underlying issues.

Preventing Glenohumeral Joint Effusion

While not all cases of Glenohumeral Joint Effusion can be prevented, there are several strategies to reduce the risk of developing this condition:

  • Proper Warm-Up and Cool-Down: Always warm up before physical activity and cool down afterward to prevent injuries.
  • Strength Training: Regular strength training exercises to improve shoulder stability and strength.
  • Proper Technique: Using correct techniques during physical activities to avoid overuse injuries.
  • Avoiding Overuse: Taking breaks and avoiding repetitive movements that can strain the shoulder.
  • Maintaining a Healthy Weight: Keeping a healthy weight to reduce stress on the joints.

When to Seek Medical Attention

It is important to seek medical attention if you experience any of the following symptoms related to Glenohumeral Joint Effusion:

  • Severe or persistent pain.
  • Significant swelling or deformity.
  • Inability to move the shoulder.
  • Fever or chills, which may indicate an infection.
  • Numbness or tingling in the arm or hand.

📌 Note: Early intervention can prevent complications and improve outcomes.

Living with Glenohumeral Joint Effusion

Living with Glenohumeral Joint Effusion can be challenging, but with the right management strategies, it is possible to maintain a good quality of life. Some tips for managing the condition include:

  • Adhering to Treatment Plans: Following the treatment plan prescribed by your healthcare provider.
  • Regular Exercise: Engaging in regular, low-impact exercises to maintain joint health.
  • Pain Management: Using pain management techniques such as heat or cold therapy, massage, or acupuncture.
  • Lifestyle Modifications: Making lifestyle changes to reduce stress on the shoulder, such as using ergonomic equipment or modifying activities.

Glenohumeral Joint Effusion is a condition that can significantly impact daily life, but with proper diagnosis, treatment, and management, it is possible to alleviate symptoms and improve joint function. Understanding the causes, symptoms, and treatment options for this condition is the first step toward effective management and a better quality of life.

Related Terms:

  • glenohumeral joint effusion xray
  • glenohumeral joint effusion shoulder
  • mild glenohumeral joint effusion
  • glenohumeral joint effusion mri
  • glenohumeral joint effusion causes
  • glenohumeral joint effusion treatment
Facebook Twitter WhatsApp
Related Posts
Don't Miss