Art

Hepatic Cyst Ultrasound

Hepatic Cyst Ultrasound
Hepatic Cyst Ultrasound

Hepatic cysts are fluid-filled sacs that develop in the liver, and they can vary in size and number. These cysts are often benign and may not cause any symptoms, but in some cases, they can lead to complications such as pain, infection, or rupture. One of the most effective methods for diagnosing and monitoring hepatic cysts is through a hepatic cyst ultrasound. This non-invasive imaging technique provides valuable insights into the size, location, and characteristics of the cysts, aiding in the development of an appropriate treatment plan.

Understanding Hepatic Cysts

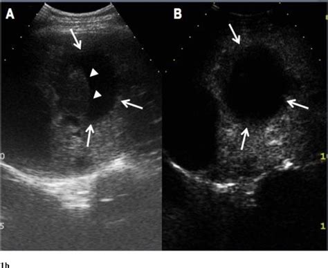
Hepatic cysts can be classified into two main types: simple cysts and polycystic liver disease. Simple cysts are solitary and usually do not cause symptoms. Polycystic liver disease, on the other hand, involves multiple cysts and can lead to significant liver enlargement and complications.

The Importance of Hepatic Cyst Ultrasound

A hepatic cyst ultrasound is a crucial diagnostic tool for evaluating liver cysts. This imaging technique uses high-frequency sound waves to create detailed images of the liver and its structures. The ultrasound can help determine the size, shape, and location of the cysts, as well as assess their impact on surrounding tissues.

Preparing for a Hepatic Cyst Ultrasound

Preparation for a hepatic cyst ultrasound is generally minimal. Patients are usually advised to:

  • Fast for several hours before the procedure to ensure the liver is clearly visible.
  • Wear comfortable clothing that allows easy access to the abdomen.
  • Inform the healthcare provider about any medications or allergies.

The Procedure

The hepatic cyst ultrasound procedure is typically performed in a clinical setting and involves the following steps:

  • The patient lies on their back on an examination table.
  • A water-based gel is applied to the abdomen to enhance the transmission of sound waves.
  • The ultrasound technician moves a transducer (a handheld device) over the abdomen to capture images of the liver.
  • The procedure usually takes about 30 minutes to an hour.

πŸ“ Note: Patients may experience some discomfort from the pressure of the transducer, but the procedure is generally painless.

Interpreting the Results

The images obtained from a hepatic cyst ultrasound are reviewed by a radiologist, who looks for specific characteristics of the cysts. Key factors that are assessed include:

  • The size and number of cysts.
  • The presence of any solid components within the cysts.
  • The impact of the cysts on surrounding liver tissue.
  • Any signs of complications such as infection or rupture.

Common Findings

During a hepatic cyst ultrasound, several common findings may be observed:

  • Simple cysts appear as well-defined, fluid-filled structures with smooth walls.
  • Polycystic liver disease shows multiple cysts of varying sizes scattered throughout the liver.
  • Complex cysts may have internal septations or solid components, which can indicate a higher risk of malignancy.

Treatment Options

Based on the findings of the hepatic cyst ultrasound, various treatment options may be recommended. These include:

  • Observation: For small, asymptomatic cysts, regular monitoring may be sufficient.
  • Aspiration: Draining the fluid from the cyst using a needle.
  • Sclerotherapy: Injecting a sclerosing agent into the cyst to prevent fluid accumulation.
  • Surgical removal: For large or symptomatic cysts, surgical intervention may be necessary.

Follow-Up Care

After the initial hepatic cyst ultrasound and treatment, follow-up care is essential to monitor the cysts and ensure they do not recur or cause complications. Regular follow-up ultrasounds may be recommended to:

  • Assess the size and number of cysts.
  • Check for any new cysts or changes in existing ones.
  • Evaluate the effectiveness of the treatment.

Complications and Risks

While a hepatic cyst ultrasound is generally safe, there are some potential complications and risks to be aware of:

  • Infection: Although rare, there is a risk of infection if the cyst is aspirated.
  • Bleeding: Minor bleeding may occur at the site of needle insertion during aspiration.
  • Recurrence: Cysts may recur after treatment, requiring additional interventions.

When to Seek Medical Attention

Patients should seek medical attention if they experience any of the following symptoms after a hepatic cyst ultrasound or treatment:

  • Severe abdominal pain.
  • Fever or chills.
  • Nausea or vomiting.
  • Yellowing of the skin or eyes (jaundice).

πŸ“ Note: Prompt medical attention can help prevent complications and ensure timely treatment.

Living with Hepatic Cysts

Living with hepatic cysts often involves regular monitoring and lifestyle adjustments. Patients can take several steps to manage their condition effectively:

  • Maintain a healthy diet and exercise regularly to support overall liver health.
  • Avoid alcohol and medications that can harm the liver.
  • Attend all follow-up appointments and ultrasounds as recommended by the healthcare provider.

Conclusion

A hepatic cyst ultrasound is a valuable diagnostic tool for evaluating and monitoring hepatic cysts. This non-invasive procedure provides detailed images of the liver, helping healthcare providers develop an appropriate treatment plan. Regular follow-up and lifestyle adjustments can help manage hepatic cysts effectively, ensuring a better quality of life for patients. Understanding the importance of a hepatic cyst ultrasound and adhering to recommended follow-up care can significantly improve outcomes and prevent complications.

Related Terms:

  • monitoring hepatic cysts
  • photopenic hepatic cysts
  • what are small hepatic cysts
  • benign appearing hepatic cysts
  • simple hepatic cyst ultrasound
  • hepatic cyst with septation radiology
Facebook Twitter WhatsApp
Related Posts
Don't Miss