Art

Loop On Henle

Loop On Henle
Loop On Henle

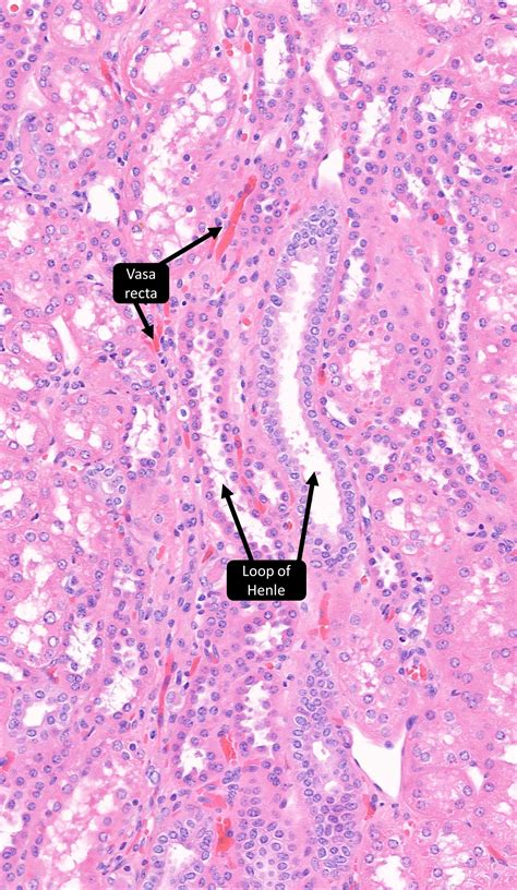
Understanding the intricacies of the Loop of Henle is crucial for anyone studying the human body, particularly the urinary system. The Loop of Henle, also known as the nephron loop, is a critical component of the nephron, the functional unit of the kidney. This structure plays a pivotal role in the process of urine concentration, ensuring that the body maintains proper water and electrolyte balance.

The Structure of the Loop of Henle

The Loop of Henle is a U-shaped tube that consists of three main segments: the descending limb, the thin ascending limb, and the thick ascending limb. Each segment has a unique structure and function that contributes to the overall process of urine concentration.

The Descending Limb

The descending limb of the Loop of Henle is permeable to water but not to solutes. As filtrate moves down this segment, water is reabsorbed into the surrounding interstitial fluid, concentrating the filtrate. This process is driven by the osmotic gradient created by the high concentration of solutes in the medulla of the kidney.

The Thin Ascending Limb

The thin ascending limb is relatively impermeable to water but allows the passive diffusion of solutes, primarily sodium and chloride ions. As the filtrate moves up this segment, solutes are reabsorbed, further diluting the filtrate. This segment plays a crucial role in establishing the osmotic gradient that drives water reabsorption in the descending limb.

The Thick Ascending Limb

The thick ascending limb is actively involved in the reabsorption of sodium, potassium, and chloride ions. This segment is impermeable to water, and the active transport of solutes creates a hyperosmotic environment in the medulla. The thick ascending limb is also responsible for the secretion of hydrogen ions and the reabsorption of bicarbonate ions, contributing to the regulation of acid-base balance.

The Role of the Loop of Henle in Urine Concentration

The primary function of the Loop of Henle is to concentrate urine by reabsorbing water and solutes. This process is essential for maintaining the body's water and electrolyte balance, especially in conditions of dehydration or high solute intake. The Loop of Henle achieves this through a combination of passive and active transport mechanisms.

The osmotic gradient created by the Loop of Henle is crucial for the reabsorption of water in the collecting ducts. As the filtrate moves through the Loop of Henle, the concentration of solutes in the medulla increases, creating a hyperosmotic environment. This gradient drives the reabsorption of water from the collecting ducts, concentrating the urine and conserving water for the body.

The Importance of the Loop of Henle in Kidney Function

The Loop of Henle is essential for the overall function of the kidney. Its role in urine concentration helps regulate the body's water and electrolyte balance, which is crucial for maintaining proper hydration and preventing electrolyte imbalances. Additionally, the Loop of Henle contributes to the regulation of acid-base balance by secreting hydrogen ions and reabsorbing bicarbonate ions.

Disruptions in the function of the Loop of Henle can lead to various kidney disorders, including diabetes insipidus, a condition characterized by excessive urine production and thirst. This condition occurs when the kidney is unable to concentrate urine due to a defect in the Loop of Henle or the collecting ducts.

Factors Affecting the Function of the Loop of Henle

Several factors can affect the function of the Loop of Henle, including hormonal regulation, dietary intake, and hydration status. Understanding these factors is essential for maintaining optimal kidney function and preventing kidney disorders.

Hormonal Regulation

Hormones play a crucial role in regulating the function of the Loop of Henle. Antidiuretic hormone (ADH), also known as vasopressin, is a key hormone that regulates water reabsorption in the collecting ducts. ADH is released by the pituitary gland in response to changes in blood volume and osmolality. When blood volume is low or osmolality is high, ADH is released, increasing the permeability of the collecting ducts to water and promoting water reabsorption.

Another important hormone is aldosterone, which regulates sodium reabsorption in the thick ascending limb of the Loop of Henle. Aldosterone is released by the adrenal glands in response to changes in blood pressure and potassium levels. It promotes sodium reabsorption and potassium secretion, helping to maintain electrolyte balance.

Dietary Intake

Dietary intake of water and electrolytes can significantly impact the function of the Loop of Henle. A high intake of water can dilute the urine, reducing the need for water reabsorption in the Loop of Henle. Conversely, a low intake of water can concentrate the urine, increasing the need for water reabsorption. Similarly, a high intake of electrolytes can increase the osmotic gradient in the medulla, enhancing the reabsorption of water and solutes in the Loop of Henle.

Hydration Status

Hydration status is a critical factor affecting the function of the Loop of Henle. In conditions of dehydration, the body conserves water by increasing the reabsorption of water and solutes in the Loop of Henle. This process is mediated by the release of ADH, which increases the permeability of the collecting ducts to water. In conditions of overhydration, the body excretes excess water by reducing the reabsorption of water and solutes in the Loop of Henle.

Clinical Implications of the Loop of Henle

The Loop of Henle has significant clinical implications, particularly in the diagnosis and treatment of kidney disorders. Understanding the function of the Loop of Henle is essential for managing conditions such as diabetes insipidus, chronic kidney disease, and electrolyte imbalances.

For example, in patients with diabetes insipidus, the kidney is unable to concentrate urine due to a defect in the Loop of Henle or the collecting ducts. Treatment involves the administration of ADH or its analogs to increase water reabsorption and reduce urine output. In patients with chronic kidney disease, the function of the Loop of Henle may be impaired, leading to electrolyte imbalances and fluid retention. Treatment involves managing electrolyte levels and fluid balance through dietary modifications and medication.

In addition to its role in kidney function, the Loop of Henle is also involved in the regulation of blood pressure. The reabsorption of sodium and water in the Loop of Henle contributes to the regulation of blood volume and pressure. Disruptions in this process can lead to hypertension or hypotension, depending on the underlying cause.

Research and Future Directions

Research on the Loop of Henle continues to uncover new insights into its structure and function. Advances in molecular biology and imaging techniques have enabled scientists to study the Loop of Henle at a cellular and molecular level, providing a deeper understanding of its role in kidney function and disease.

Future research is likely to focus on developing new therapies for kidney disorders that target the Loop of Henle. For example, researchers are exploring the use of novel drugs that modulate the function of the Loop of Henle to treat conditions such as diabetes insipidus and chronic kidney disease. Additionally, advances in regenerative medicine may enable the development of new treatments for kidney failure by regenerating damaged nephrons, including the Loop of Henle.

Another area of interest is the role of the Loop of Henle in aging and age-related kidney diseases. As the population ages, the incidence of kidney disorders is expected to increase, highlighting the need for effective prevention and treatment strategies. Understanding the changes in the Loop of Henle that occur with aging may provide new insights into the development of age-related kidney diseases and potential therapeutic targets.

In conclusion, the Loop of Henle is a critical component of the nephron, playing a pivotal role in urine concentration and the regulation of water and electrolyte balance. Its structure and function are essential for maintaining optimal kidney function and preventing kidney disorders. Understanding the factors that affect the function of the Loop of Henle and its clinical implications is crucial for managing kidney health and developing new therapies for kidney diseases. As research continues to uncover new insights into the Loop of Henle, the potential for improving kidney health and treating kidney disorders is vast.

📝 Note: The information provided in this blog post is for educational purposes only and should not be used as a substitute for professional medical advice. Always consult a healthcare provider for any medical concerns or questions.

Related Terms:

  • loop of henle diagram
  • loop of henle function kidney
  • thick descending loop of henle
  • loop of henle definition
  • nephron loop
  • loop of henle ascending limb
Facebook Twitter WhatsApp
Related Posts
Don't Miss