Art

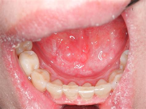
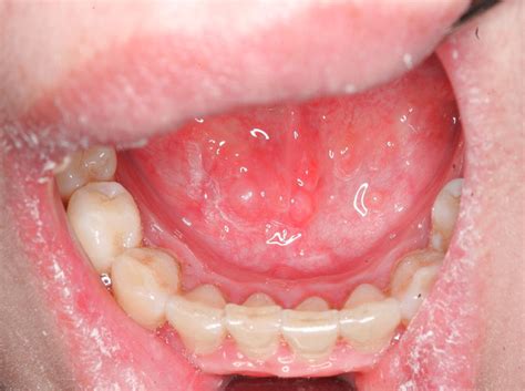
Mucocele Roof Of Mouth

Mucocele Roof Of Mouth
Mucocele Roof Of Mouth

Oral health is a critical aspect of overall well-being, and understanding various conditions that affect the mouth is essential for maintaining good health. One such condition is a mucocele, a common benign lesion that can occur in different parts of the mouth, including the roof of the mouth. This condition, known as a mucocele roof of mouth, can be bothersome and may require medical attention. This blog post will delve into the details of mucocele roof of mouth, its causes, symptoms, diagnosis, treatment options, and preventive measures.

Understanding Mucocele

A mucocele is a fluid-filled swelling that typically appears on the inside of the lips, cheeks, or floor of the mouth. It occurs when a salivary gland is damaged, leading to the leakage of mucus into the surrounding tissue. This condition is generally harmless but can be uncomfortable and may affect speech and eating.

What is a Mucocele Roof of Mouth?

A mucocele on the roof of the mouth, also known as the palate, is less common than those found on the lips or cheeks. The roof of the mouth is a delicate area with several small salivary glands. When these glands are injured, a mucocele can form, causing a noticeable bump or swelling. This type of mucocele can be particularly bothersome due to its location, which can interfere with eating, drinking, and speaking.

Causes of Mucocele Roof of Mouth

The primary cause of a mucocele roof of mouth is trauma to the salivary glands. This trauma can result from various activities, including:

  • Biting the inside of the mouth
  • Chewing on hard objects
  • Dental procedures
  • Accidental injury

These activities can damage the salivary glands, leading to the leakage of mucus and the formation of a mucocele.

Symptoms of Mucocele Roof of Mouth

The symptoms of a mucocele roof of mouth can vary, but they generally include:

  • A small, painless bump on the roof of the mouth
  • Swelling and discomfort
  • Difficulty eating or drinking
  • Interference with speech

In some cases, the mucocele may rupture, releasing the mucus and causing temporary relief. However, the lesion often recurs if the underlying cause is not addressed.

Diagnosis of Mucocele Roof of Mouth

Diagnosing a mucocele roof of mouth typically involves a physical examination by a healthcare professional. The doctor will inspect the lesion and may ask about any recent injuries or dental procedures. In some cases, additional tests may be required to rule out other conditions, such as:

  • Biopsy: A small sample of the lesion may be taken for laboratory analysis.
  • Imaging tests: X-rays or other imaging techniques may be used to assess the extent of the lesion.

These tests help confirm the diagnosis and rule out more serious conditions.

Treatment Options for Mucocele Roof of Mouth

The treatment for a mucocele roof of mouth depends on the severity of the lesion and the patient’s symptoms. Common treatment options include:

  • Observation: Small, asymptomatic mucoceles may resolve on their own and only require monitoring.
  • Surgical excision: For larger or persistent mucoceles, surgical removal may be necessary. This procedure involves removing the lesion and the affected salivary gland to prevent recurrence.
  • Laser therapy: Laser treatment can be used to remove the mucocele and seal the damaged salivary gland, reducing the risk of recurrence.
  • Cryotherapy: Freezing the lesion with liquid nitrogen can destroy the affected tissue and promote healing.

Each treatment option has its advantages and potential risks, and the choice of treatment will depend on the individual’s specific needs and preferences.

Preventive Measures for Mucocele Roof of Mouth

Preventing a mucocele roof of mouth involves avoiding activities that can cause trauma to the salivary glands. Some preventive measures include:

  • Avoiding chewing on hard objects, such as pens or ice.
  • Being cautious during dental procedures to minimize the risk of injury.
  • Wearing a mouthguard during sports or other activities that may result in oral trauma.

By taking these precautions, individuals can reduce the risk of developing a mucocele roof of mouth.

When to Seek Medical Attention

While a mucocele roof of mouth is generally harmless, it is important to seek medical attention if:

  • The lesion is large or causing significant discomfort.
  • The mucocele does not resolve on its own within a few weeks.
  • There are signs of infection, such as redness, swelling, or pus.
  • The lesion interferes with eating, drinking, or speaking.

Prompt medical attention can help prevent complications and ensure proper treatment.

Living with a Mucocele Roof of Mouth

Living with a mucocele roof of mouth can be challenging, but there are several strategies to manage the condition effectively. These include:

  • Avoiding activities that may cause further trauma to the lesion.
  • Maintaining good oral hygiene to prevent infection.
  • Following the healthcare provider’s recommendations for treatment and follow-up care.

By taking these steps, individuals can minimize the impact of a mucocele roof of mouth on their daily lives.

📝 Note: Always consult a healthcare professional for personalized advice and treatment options.

In summary, a mucocele roof of mouth is a common but often bothersome condition that can affect oral health and daily activities. Understanding the causes, symptoms, and treatment options is crucial for effective management. By taking preventive measures and seeking timely medical attention, individuals can minimize the impact of this condition and maintain good oral health.

Related Terms:

  • how long do mucocele last
  • mucocele roof of mouth treatment
  • mucocele treatment without surgery
  • mucoceles going away without treatment
  • should you pop oral mucocele
  • how long does mucocele last
Facebook Twitter WhatsApp
Related Posts
Don't Miss