Art

Stellate Ganglion Ammar Chaudhry

Stellate Ganglion Ammar Chaudhry
Stellate Ganglion Ammar Chaudhry

The Stellate Ganglion Block (SGB) is a medical procedure that has gained significant attention in recent years, particularly through the work of pioneers like Ammar Chaudhry. This procedure involves injecting an anesthetic into the stellate ganglion, a cluster of nerves located in the neck, to manage various conditions, including chronic pain, post-traumatic stress disorder (PTSD), and other neurological disorders. The Stellate Ganglion Ammar Chaudhry has been instrumental in advancing the understanding and application of this technique, making it a valuable tool in modern medicine.

Understanding the Stellate Ganglion

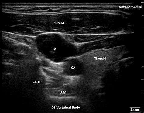
The stellate ganglion is a critical component of the sympathetic nervous system, which plays a crucial role in regulating various bodily functions such as heart rate, blood pressure, and sweating. Located in the neck, it is formed by the fusion of the inferior cervical and first thoracic ganglia. The stellate ganglion is a key player in the body’s “fight or flight” response, making it a target for interventions aimed at managing conditions related to stress and pain.

The Role of Ammar Chaudhry in Stellate Ganglion Block

Ammar Chaudhry, a renowned physician and researcher, has made significant contributions to the field of Stellate Ganglion Block. His work has focused on refining the technique, improving patient outcomes, and expanding the applications of SGB. Chaudhry’s research has shown that SGB can be an effective treatment for a wide range of conditions, including:

  • Chronic pain syndromes
  • Post-traumatic stress disorder (PTSD)
  • Complex regional pain syndrome (CRPS)
  • Hot flashes and night sweats
  • Migraines and other headache disorders

The Procedure: What to Expect

The Stellate Ganglion Block procedure is typically performed under fluoroscopic guidance to ensure precise placement of the anesthetic. Here is a step-by-step overview of what patients can expect:

  1. The patient is positioned lying down on their back with their head slightly turned to the side.
  2. The skin over the injection site is cleaned and numbed with a local anesthetic.
  3. Using fluoroscopy, the physician guides a needle to the stellate ganglion.
  4. A small amount of contrast dye is injected to confirm the correct position of the needle.
  5. The anesthetic is then injected into the stellate ganglion.
  6. The patient is monitored for a short period to ensure there are no immediate complications.

The entire procedure usually takes about 15-30 minutes, and patients can typically go home the same day. The effects of the block can last from a few hours to several weeks, depending on the individual and the condition being treated.

📝 Note: It is important for patients to discuss the potential risks and benefits of the procedure with their healthcare provider before undergoing a Stellate Ganglion Block.

Benefits of Stellate Ganglion Block

The Stellate Ganglion Block offers several benefits, making it a valuable option for managing various conditions. Some of the key advantages include:

  • Pain Relief: SGB can provide significant pain relief for patients suffering from chronic pain syndromes and other pain-related conditions.
  • Improved Mental Health: For patients with PTSD, SGB has been shown to reduce symptoms such as anxiety, depression, and nightmares.
  • Non-Invasive: Compared to surgical interventions, SGB is a minimally invasive procedure with a relatively short recovery time.
  • Versatile Applications: The procedure can be used to treat a wide range of conditions, making it a versatile tool in the medical arsenal.

Conditions Treated with Stellate Ganglion Block

The Stellate Ganglion Block has been successfully used to treat a variety of conditions. Some of the most common applications include:

Condition Description
Chronic Pain Syndromes Including conditions like fibromyalgia and neuropathic pain.
Post-Traumatic Stress Disorder (PTSD) Reducing symptoms such as anxiety, depression, and nightmares.
Complex Regional Pain Syndrome (CRPS) Managing pain and other symptoms associated with this condition.
Hot Flashes and Night Sweats Providing relief for menopausal symptoms.
Migraines and Other Headache Disorders Reducing the frequency and severity of headaches.

Research and Future Directions

The Stellate Ganglion Ammar Chaudhry has been at the forefront of research into the potential applications and benefits of SGB. His work has highlighted the need for further studies to fully understand the mechanisms behind the procedure’s effectiveness and to explore new areas of application. Some of the key areas of ongoing research include:

  • Mechanisms of Action: Understanding how SGB affects the sympathetic nervous system and its role in pain and stress management.
  • Long-Term Effects: Investigating the long-term benefits and potential side effects of repeated SGB procedures.
  • New Applications: Exploring the use of SGB in treating other conditions, such as cardiovascular diseases and gastrointestinal disorders.

As research continues, the Stellate Ganglion Block is likely to become an even more valuable tool in the management of various medical conditions. The work of Ammar Chaudhry and other researchers will play a crucial role in advancing our understanding and application of this procedure.

In conclusion, the Stellate Ganglion Block, pioneered by Ammar Chaudhry, offers a promising approach to managing a wide range of conditions. From chronic pain to PTSD, SGB provides a minimally invasive option for patients seeking relief. As research continues to uncover new applications and benefits, the Stellate Ganglion Block is poised to become an even more integral part of modern medicine. The contributions of Ammar Chaudhry in this field have been instrumental in advancing our knowledge and improving patient outcomes, making him a key figure in the ongoing development of this procedure.

Related Terms:

  • sympathetic chain ganglion
Facebook Twitter WhatsApp
Related Posts
Don't Miss