Art

Testicular Cyst Vs Cancer

Testicular Cyst Vs Cancer
Testicular Cyst Vs Cancer

Understanding the differences between a testicular cyst and testicular cancer is crucial for early detection and appropriate treatment. Both conditions affect the testicles, but they have distinct characteristics, symptoms, and treatment options. This blog post aims to provide a comprehensive overview of testicular cysts vs. cancer, helping readers recognize the signs and seek timely medical attention.

Understanding Testicular Cysts

A testicular cyst is a fluid-filled sac that develops within the testicle. These cysts are generally benign and can occur in men of any age. They are often discovered incidentally during routine physical examinations or when a man notices a lump in his testicle.

Causes and Types

Testicular cysts can be classified into several types based on their origin:

  • Epididymal Cysts: These are the most common type and develop in the epididymis, a coiled tube that stores and transports sperm.
  • Spermatoceles: These cysts contain sperm and are typically found in the epididymis.
  • Simple Cysts: These are fluid-filled sacs that can occur anywhere within the testicle.

The exact cause of testicular cysts is often unknown, but they can be associated with conditions such as infections, trauma, or congenital abnormalities.

Symptoms

Testicular cysts often do not cause symptoms and are usually discovered during a routine physical examination. However, some men may experience:

  • A painless lump or swelling in the testicle
  • Discomfort or pain in the testicle
  • A feeling of heaviness in the scrotum

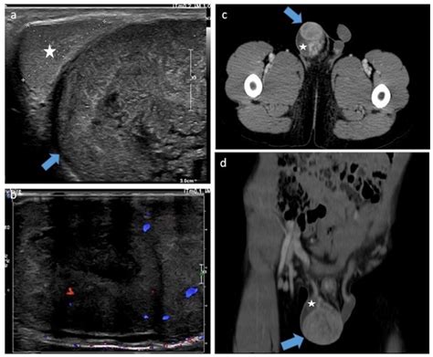
Diagnosis

Diagnosing a testicular cyst typically involves a combination of the following:

  • Physical Examination: A healthcare provider will perform a physical exam to feel for any lumps or abnormalities.
  • Ultrasound: An ultrasound of the scrotum can help visualize the cyst and determine its size and location.
  • Blood Tests: In some cases, blood tests may be ordered to rule out other conditions.

Understanding Testicular Cancer

Testicular cancer is a malignant tumor that develops in the testicles. It is one of the most treatable forms of cancer, especially when detected early. Understanding the signs and symptoms of testicular cancer is essential for early diagnosis and effective treatment.

Types of Testicular Cancer

Testicular cancer can be classified into several types based on the cells from which it originates:

  • Seminomas: These are the most common type of testicular cancer and tend to grow and spread slowly.
  • Non-Seminomas: These include several subtypes, such as embryonal carcinoma, teratoma, yolk sac tumor, and choriocarcinoma. Non-seminomas tend to grow and spread more quickly than seminomas.

Symptoms

Testicular cancer often presents with the following symptoms:

  • A painless lump or swelling in the testicle
  • A feeling of heaviness in the scrotum
  • Dull ache or sharp pain in the testicle or scrotum
  • Enlargement of the testicle
  • Breast tenderness or enlargement (gynecomastia)
  • Back pain or lower abdominal pain

It is important to note that testicular cancer can also cause systemic symptoms such as fatigue, night sweats, and unexplained weight loss.

Diagnosis

Diagnosing testicular cancer involves several steps:

  • Physical Examination: A healthcare provider will perform a physical exam to feel for any lumps or abnormalities.
  • Ultrasound: An ultrasound of the scrotum can help visualize the tumor and determine its size and location.
  • Blood Tests: Blood tests, including tumor markers such as alpha-fetoprotein (AFP), beta-human chorionic gonadotropin (beta-hCG), and lactate dehydrogenase (LDH), can help confirm the diagnosis and monitor treatment response.
  • Biopsy: In some cases, a biopsy may be performed to confirm the diagnosis and determine the type of cancer.

Testicular Cyst Vs Cancer: Key Differences

While both testicular cysts and testicular cancer can present as lumps or swelling in the testicle, there are several key differences between the two conditions. Understanding these differences is crucial for accurate diagnosis and appropriate treatment.

Feature Testicular Cyst Testicular Cancer
Nature Benign Malignant
Symptoms Often asymptomatic; may cause painless lump or discomfort May cause painless lump, swelling, pain, or systemic symptoms
Diagnosis Physical exam, ultrasound Physical exam, ultrasound, blood tests, biopsy
Treatment Often no treatment required; may be monitored or surgically removed Surgery, chemotherapy, radiation therapy

It is important to note that while testicular cysts are generally benign, they can sometimes be associated with other conditions that require treatment. Therefore, it is essential to consult a healthcare provider for an accurate diagnosis and appropriate management.

πŸ” Note: If you notice any changes in your testicles, such as a lump, swelling, or pain, it is important to consult a healthcare provider promptly. Early detection and treatment of both testicular cysts and testicular cancer can significantly improve outcomes.

Treatment Options

The treatment options for testicular cysts and testicular cancer differ significantly due to their distinct natures.

Treatment for Testicular Cysts

Testicular cysts are often benign and may not require treatment. However, in some cases, treatment may be recommended based on the size, location, and symptoms of the cyst. Treatment options include:

  • Observation: Small, asymptomatic cysts may be monitored with regular follow-up exams and ultrasounds.
  • Surgical Removal: Larger cysts or those causing symptoms may be surgically removed. This can often be done on an outpatient basis.

Treatment for Testicular Cancer

Testicular cancer treatment depends on the type and stage of the cancer. Common treatment options include:

  • Surgery: Surgical removal of the affected testicle (orchiectomy) is often the first step in treatment.
  • Chemotherapy: Chemotherapy may be used to treat cancer that has spread beyond the testicle.
  • Radiation Therapy: Radiation therapy may be used to treat certain types of testicular cancer, particularly seminomas.
  • Retroperitoneal Lymph Node Dissection (RPLND): This surgery may be performed to remove lymph nodes in the abdomen that may contain cancer cells.

Treatment for testicular cancer often involves a multidisciplinary approach, with input from urologists, medical oncologists, and radiation oncologists.

🩺 Note: The choice of treatment for testicular cancer depends on various factors, including the type and stage of the cancer, as well as the patient's overall health and preferences. It is important to discuss all treatment options with a healthcare provider to make an informed decision.

Prevention and Early Detection

While there is no sure way to prevent testicular cancer, there are steps men can take to reduce their risk and detect the condition early.

Prevention

Although the exact causes of testicular cancer are not fully understood, certain factors may increase the risk. These include:

  • Undescended testicles (cryptorchidism)
  • Family history of testicular cancer
  • Personal history of testicular cancer
  • Certain genetic conditions, such as Klinefelter syndrome

To reduce the risk of testicular cancer, men can:

  • Address any underlying conditions, such as undescended testicles, through medical intervention.
  • Maintain a healthy lifestyle, including regular exercise and a balanced diet.
  • Avoid exposure to environmental toxins and chemicals.

Early Detection

Early detection of testicular cancer is crucial for successful treatment. Men should perform regular self-examinations to check for any lumps, swelling, or changes in their testicles. It is recommended to perform a self-exam monthly, preferably after a warm shower or bath when the scrotum is relaxed.

During a self-exam, men should:

  • Gently feel each testicle for any lumps, swelling, or changes in size or shape.
  • Check for any pain or discomfort in the testicles or scrotum.
  • Feel for any changes in the epididymis, the coiled tube behind the testicle.

If any changes or abnormalities are detected, it is important to consult a healthcare provider promptly for further evaluation.

πŸ“… Note: Regular self-exams and routine physical examinations by a healthcare provider can help detect testicular cancer in its early stages, when it is most treatable.

Testicular cysts and testicular cancer are two distinct conditions that affect the testicles. While testicular cysts are generally benign and may not require treatment, testicular cancer is a serious condition that requires prompt diagnosis and treatment. Understanding the differences between these conditions, recognizing the signs and symptoms, and seeking timely medical attention are crucial for early detection and effective management.

Regular self-exams and routine physical examinations can help detect both testicular cysts and testicular cancer in their early stages. If you notice any changes in your testicles, such as a lump, swelling, or pain, it is important to consult a healthcare provider promptly. Early detection and treatment can significantly improve outcomes and quality of life.

Related Terms:

  • testicular cyst pain pictures
  • is a testicular cyst dangerous
  • can testicular lumps be dangerous
  • pictures of testicular cancer lumps
  • testicular cancer symptoms pictures
Facebook Twitter WhatsApp
Related Posts
Don't Miss