Art

Transverse Temporal Gyri

Transverse Temporal Gyri
Transverse Temporal Gyri

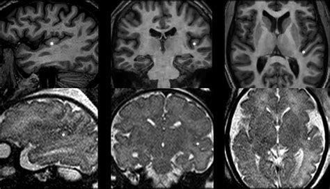
The human brain is a complex and fascinating organ, with various structures and regions that play crucial roles in our cognitive functions, emotions, and behaviors. Among these structures, the Transverse Temporal Gyri, also known as Heschl's gyri, are particularly significant due to their involvement in auditory processing. These gyri are located in the temporal lobe of the brain and are essential for interpreting and understanding sounds, including speech.

The Anatomy of the Transverse Temporal Gyri

The Transverse Temporal Gyri are part of the superior temporal gyrus, which is situated in the temporal lobe. These gyri are named after the German anatomist Richard Heschl, who first described them in the 19th century. The primary auditory cortex, which is responsible for processing auditory information, is located within these gyri. The Transverse Temporal Gyri are typically composed of two or three convolutions, or folds, and are located on the superior surface of the temporal lobe, near the Sylvian fissure.

The Role of the Transverse Temporal Gyri in Auditory Processing

The Transverse Temporal Gyri play a pivotal role in auditory processing. They are responsible for receiving and interpreting auditory information from the ears. This information is then relayed to other parts of the brain for further processing. The primary auditory cortex, located within the Transverse Temporal Gyri, is involved in the following key functions:

  • Sound Localization: Determining the direction and distance of a sound source.
  • Pitch Perception: Identifying the frequency of a sound.
  • Timbre Perception: Recognizing the quality or texture of a sound.
  • Speech Processing: Understanding spoken language, including the recognition of phonemes and words.

Damage to the Transverse Temporal Gyri can result in various auditory processing disorders, including difficulties in understanding speech, recognizing environmental sounds, and localizing sound sources.

Neural Connections and Integration

The Transverse Temporal Gyri are connected to several other brain regions, allowing for the integration of auditory information with other sensory inputs and cognitive processes. Some of the key connections include:

  • Wernicke's Area: Located in the posterior part of the superior temporal gyrus, this area is crucial for language comprehension and is closely connected to the Transverse Temporal Gyri.
  • Thalamus: The medial geniculate nucleus of the thalamus relays auditory information from the ears to the primary auditory cortex.
  • Inferior Colliculus: This midbrain structure is involved in the initial processing of auditory information before it is sent to the thalamus and then to the Transverse Temporal Gyri.
  • Frontal Lobe: Connections to the frontal lobe, particularly Broca's area, are essential for speech production and language processing.

These neural connections enable the brain to process auditory information in a coordinated manner, allowing for complex tasks such as speech comprehension, music appreciation, and environmental sound recognition.

Clinical Implications and Disorders

Damage or dysfunction of the Transverse Temporal Gyri can lead to various clinical conditions and disorders. Some of the most notable include:

  • Congenital Amusia: A condition characterized by a lifelong inability to recognize or reproduce musical tones, often due to abnormalities in the Transverse Temporal Gyri.
  • Auditory Agnosia: A disorder where individuals have difficulty recognizing familiar sounds, including speech, despite having normal hearing.
  • Auditory Hallucinations: In some psychiatric conditions, such as schizophrenia, individuals may experience auditory hallucinations, which can be linked to abnormal activity in the Transverse Temporal Gyri.
  • Tinnitus: A condition characterized by the perception of sound in the absence of an external source, which can be associated with hyperactivity in the Transverse Temporal Gyri.

Understanding the role of the Transverse Temporal Gyri in these conditions can help in developing targeted treatments and interventions.

Research and Future Directions

Research on the Transverse Temporal Gyri continues to advance our understanding of auditory processing and related disorders. Some of the key areas of research include:

  • Neuroimaging Studies: Using techniques such as functional magnetic resonance imaging (fMRI) and positron emission tomography (PET) to map the activity and connectivity of the Transverse Temporal Gyri.
  • Electrophysiological Studies: Employing electroencephalography (EEG) and magnetoencephalography (MEG) to study the electrical activity of the Transverse Temporal Gyri in response to auditory stimuli.
  • Genetic Studies: Investigating the genetic factors that contribute to the development and function of the Transverse Temporal Gyri, as well as their role in auditory processing disorders.
  • Behavioral Studies: Examining the behavioral and cognitive effects of damage or dysfunction in the Transverse Temporal Gyri, and developing interventions to improve auditory processing.

Future research is likely to focus on developing more effective treatments for auditory processing disorders, as well as enhancing our understanding of the neural mechanisms underlying auditory perception and cognition.

Case Studies and Clinical Examples

To illustrate the clinical significance of the Transverse Temporal Gyri, consider the following case studies:

Case Study 1: Auditory Agnosia

A 55-year-old patient presented with difficulty recognizing familiar sounds, including speech, despite having normal hearing. Neuroimaging revealed damage to the Transverse Temporal Gyri due to a stroke. The patient underwent intensive speech therapy and auditory training, which helped improve their ability to recognize and interpret sounds.

Case Study 2: Congenital Amusia

A 30-year-old musician reported a lifelong inability to recognize or reproduce musical tones. Neuroimaging studies showed abnormalities in the Transverse Temporal Gyri. The patient was diagnosed with congenital amusia and received specialized music therapy to enhance their musical abilities.

Case Study 3: Tinnitus

A 45-year-old individual complained of persistent ringing in the ears, which was diagnosed as tinnitus. Neuroimaging and electrophysiological studies indicated hyperactivity in the Transverse Temporal Gyri. The patient was treated with a combination of sound therapy and cognitive-behavioral therapy, which helped reduce the severity of the tinnitus.

These case studies highlight the importance of the Transverse Temporal Gyri in auditory processing and the potential for targeted interventions to improve outcomes for individuals with related disorders.

Conclusion

The Transverse Temporal Gyri are essential structures in the brain that play a critical role in auditory processing. Their involvement in sound localization, pitch perception, timbre perception, and speech processing makes them indispensable for our ability to understand and interact with the auditory world. Damage or dysfunction of these gyri can lead to various clinical conditions, including auditory agnosia, congenital amusia, auditory hallucinations, and tinnitus. Ongoing research continues to shed light on the neural mechanisms underlying auditory perception and cognition, paving the way for more effective treatments and interventions. Understanding the Transverse Temporal Gyri and their functions is crucial for advancing our knowledge of the brain and improving the lives of individuals with auditory processing disorders.

Related Terms:

  • transverse temporal gyrus of heschl
  • transverse temporal gyri location
  • mesial temporal lobe anatomy mri
  • transverse temporal gyri diagram
  • temporal lobe gyri anatomy
  • transverse temporal gyrus definition
Facebook Twitter WhatsApp
Related Posts
Don't Miss