Art

Uterine Myoma Degeneration

Uterine Myoma Degeneration
Uterine Myoma Degeneration

Uterine fibroids, also known as leiomyomas or myomas, are benign tumors that develop in the uterus. These growths can vary in size and number, and while many women with uterine fibroids experience no symptoms, others may face significant discomfort and health issues. One of the critical aspects of managing uterine fibroids is understanding the process of Uterine Myoma Degeneration. This phenomenon occurs when the blood supply to the fibroids is compromised, leading to tissue death and shrinkage. This blog post delves into the causes, symptoms, diagnosis, and treatment options for uterine myoma degeneration, providing a comprehensive guide for those seeking to understand this condition better.

Understanding Uterine Myoma Degeneration

Uterine myoma degeneration is a natural process that can occur in fibroids, particularly those that outgrow their blood supply. This degeneration can be spontaneous or induced through medical interventions. The process involves the death of fibroid tissue due to a lack of oxygen and nutrients, which can lead to the shrinkage of the fibroids. Understanding the mechanisms behind this degeneration is crucial for effective management and treatment.

Causes of Uterine Myoma Degeneration

Several factors can contribute to uterine myoma degeneration. These include:

  • Rapid Growth: Fibroids that grow rapidly may outstrip their blood supply, leading to degeneration.
  • Hormonal Changes: Fluctuations in hormone levels, particularly estrogen and progesterone, can affect the blood supply to fibroids.
  • Medical Interventions: Certain treatments, such as uterine artery embolization (UAE) and focused ultrasound surgery (FUS), are designed to cut off the blood supply to fibroids, inducing degeneration.
  • Pregnancy: During pregnancy, the increased hormone levels and changes in blood flow can sometimes lead to fibroid degeneration.

Symptoms of Uterine Myoma Degeneration

The symptoms of uterine myoma degeneration can vary widely depending on the size and location of the fibroids. Common symptoms include:

  • Abdominal Pain: Severe, persistent pain in the lower abdomen.
  • Fever: A low-grade fever may accompany the pain.
  • Vaginal Bleeding: Heavy or irregular menstrual bleeding.
  • Nausea and Vomiting: Some women may experience gastrointestinal symptoms.
  • Leukocytosis: An elevated white blood cell count, which can indicate an inflammatory response.

It is essential to note that these symptoms can also be indicative of other conditions, so a proper diagnosis is crucial.

Diagnosing Uterine Myoma Degeneration

Diagnosing uterine myoma degeneration involves a combination of medical history, physical examination, and imaging tests. The diagnostic process typically includes:

  • Medical History: A detailed medical history to understand the patient's symptoms and any previous treatments.
  • Physical Examination: A pelvic exam to assess the size and location of the fibroids.
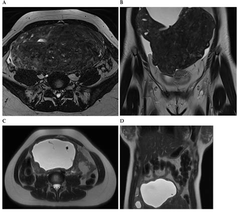
  • Imaging Tests: Ultrasound, MRI, or CT scans to visualize the fibroids and assess the extent of degeneration.
  • Blood Tests: To check for elevated white blood cell counts and other markers of inflammation.

In some cases, a biopsy may be necessary to confirm the diagnosis and rule out other conditions.

Treatment Options for Uterine Myoma Degeneration

The treatment of uterine myoma degeneration depends on the severity of symptoms and the patient's overall health. Treatment options include:

  • Pain Management: Over-the-counter pain relievers or prescription medications to manage pain and discomfort.
  • Hormonal Therapy: Medications such as gonadotropin-releasing hormone (GnRH) agonists to shrink fibroids and reduce symptoms.
  • Surgical Interventions: Procedures such as myomectomy (surgical removal of fibroids) or hysterectomy (removal of the uterus) may be necessary in severe cases.
  • Minimally Invasive Procedures: Techniques like uterine artery embolization (UAE) and focused ultrasound surgery (FUS) to cut off the blood supply to fibroids and induce degeneration.

Each treatment option has its benefits and risks, and the choice of treatment should be made in consultation with a healthcare provider.

Managing Symptoms During Uterine Myoma Degeneration

Managing the symptoms of uterine myoma degeneration is crucial for maintaining quality of life. Here are some strategies to help manage symptoms:

  • Rest and Hydration: Adequate rest and hydration can help alleviate symptoms and promote healing.
  • Diet and Nutrition: A balanced diet rich in fruits, vegetables, and whole grains can support overall health and reduce inflammation.
  • Exercise: Gentle exercise, such as walking or yoga, can help manage pain and improve mood.
  • Stress Management: Techniques such as meditation, deep breathing, and mindfulness can help reduce stress and manage symptoms.

It is essential to work closely with a healthcare provider to develop a personalized management plan.

Preventing Uterine Myoma Degeneration

While it is not always possible to prevent uterine myoma degeneration, there are steps women can take to reduce their risk of developing fibroids and managing them effectively. These include:

  • Regular Check-ups: Regular gynecological exams to monitor for fibroids and other uterine conditions.
  • Healthy Lifestyle: Maintaining a healthy weight, eating a balanced diet, and engaging in regular exercise.
  • Hormonal Balance: Managing hormonal imbalances through lifestyle changes or medical interventions.
  • Avoiding Risk Factors: Limiting exposure to environmental toxins and avoiding smoking and excessive alcohol consumption.

Early detection and management of fibroids can help prevent complications and improve outcomes.

📝 Note: Always consult with a healthcare provider before making any significant changes to your lifestyle or treatment plan.

Long-Term Outlook for Women with Uterine Myoma Degeneration

The long-term outlook for women with uterine myoma degeneration varies depending on the severity of symptoms and the effectiveness of treatment. Many women experience significant relief from symptoms and improved quality of life with appropriate management. However, some may require ongoing treatment or surgical interventions to manage their condition effectively.

Regular follow-ups with a healthcare provider are essential to monitor the condition and adjust treatment as needed. Women should also be aware of the potential for recurrence and the importance of maintaining a healthy lifestyle to support overall uterine health.

In some cases, women may choose to undergo surgical procedures such as myomectomy or hysterectomy to remove fibroids and prevent future complications. These procedures can provide long-term relief but also come with their own set of risks and considerations.

It is crucial for women to stay informed about their condition and work closely with their healthcare providers to develop a personalized treatment plan that meets their individual needs and goals.

Women with a history of uterine myoma degeneration should also be aware of the potential impact on fertility and pregnancy. While many women with fibroids can conceive and carry a pregnancy to term, some may face challenges such as miscarriage, preterm labor, or complications during delivery. Regular prenatal care and close monitoring are essential for managing these risks and ensuring a healthy pregnancy.

In conclusion, uterine myoma degeneration is a complex condition that requires careful management and treatment. By understanding the causes, symptoms, and treatment options, women can take proactive steps to manage their condition effectively and improve their quality of life. Regular follow-ups with a healthcare provider, a healthy lifestyle, and a personalized treatment plan are key to achieving the best possible outcomes. With the right approach, women can navigate the challenges of uterine myoma degeneration and maintain their overall health and well-being.

Related Terms:

  • is myoma dangerous
  • myoma uteri
  • what is myoma caused by
  • uterine myoma symptoms
  • what causes myoma in women
  • uterine myoma signs and symptoms
Facebook Twitter WhatsApp
Related Posts
Don't Miss