Art

Xray Of Bone Fracture

Xray Of Bone Fracture
Xray Of Bone Fracture

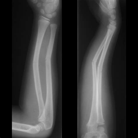
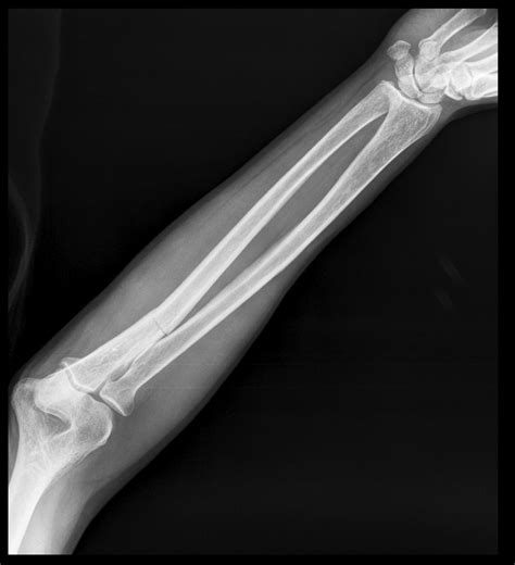
Bone fractures are a common injury that can occur due to various reasons such as accidents, falls, or sports injuries. An accurate diagnosis is crucial for effective treatment, and one of the most reliable methods for diagnosing bone fractures is through an X-ray of bone fracture. This non-invasive imaging technique provides detailed images of the bones, helping healthcare professionals to assess the extent of the damage and plan appropriate treatment.

Understanding Bone Fractures

Bone fractures can be classified into several types based on their severity and the pattern of the break. Some common types of bone fractures include:

  • Closed Fractures: These are fractures where the bone breaks but does not penetrate the skin.
  • Open Fractures: Also known as compound fractures, these occur when the broken bone penetrates the skin, increasing the risk of infection.
  • Comminuted Fractures: These involve the bone breaking into multiple pieces.
  • Greenstick Fractures: Common in children, these fractures occur when the bone bends and breaks incompletely.
  • Stress Fractures: These are small cracks in the bone that develop over time due to repetitive stress or overuse.

The Importance of an X-ray of Bone Fracture

An X-ray of bone fracture is a critical diagnostic tool that provides a clear view of the bone structure. This imaging technique uses electromagnetic radiation to produce images of the inside of the body. When it comes to diagnosing bone fractures, X-rays are particularly useful because:

  • They are non-invasive and painless.
  • They provide quick results, often within minutes.
  • They are cost-effective compared to other imaging techniques.
  • They can detect the presence and location of fractures, as well as the alignment of the bone fragments.

How X-rays Work

X-rays work by passing a beam of electromagnetic radiation through the body. Different tissues absorb X-rays at different rates. Bones, being dense, absorb more X-rays than softer tissues like muscles and organs. This difference in absorption creates a contrast in the image, allowing healthcare professionals to see the bone structure clearly.

During an X-ray procedure, the patient is positioned so that the affected area is aligned with the X-ray machine. The machine emits a controlled amount of radiation, which passes through the body and is captured on a detector. The resulting image is then displayed on a screen for the radiologist to interpret.

Interpreting X-ray Images

Interpreting X-ray images requires specialized training and expertise. Radiologists look for several key indicators when assessing an X-ray of bone fracture:

  • Bone Alignment: They check if the bone fragments are properly aligned or if there is any displacement.
  • Fracture Pattern: They identify the type of fracture (e.g., transverse, oblique, spiral) to understand the mechanism of injury.
  • Bone Density: They assess the density of the bone to detect any signs of osteoporosis or other bone diseases.
  • Soft Tissue Injuries: They look for any associated soft tissue injuries, such as swelling or muscle damage.

Radiologists use these findings to provide a detailed report to the treating physician, who then uses this information to develop a treatment plan.

Types of Fractures Visible on X-rays

X-rays can detect a wide range of fractures, including:

  • Simple Fractures: These are clean breaks with minimal displacement.
  • Displaced Fractures: These occur when the bone fragments are separated and not aligned.
  • Impacted Fractures: These happen when one bone fragment is driven into another.
  • Comminuted Fractures: These involve multiple bone fragments.
  • Pathological Fractures: These occur in bones that are already weakened by disease, such as cancer or osteoporosis.

When to Get an X-ray of Bone Fracture

An X-ray of bone fracture is typically recommended in the following situations:

  • After a significant trauma or injury, such as a fall or car accident.
  • When there is severe pain, swelling, or deformity in a limb.
  • If there is a suspected fracture based on physical examination.
  • To monitor the healing process of a known fracture.

In some cases, additional imaging tests such as CT scans or MRIs may be recommended for a more detailed assessment, especially if the fracture is complex or if there are concerns about soft tissue injuries.

Preparing for an X-ray

Preparing for an X-ray of bone fracture is generally straightforward. Here are some steps to follow:

  • Wear comfortable clothing that can be easily removed or adjusted to expose the affected area.
  • Remove any jewelry or metal objects that could interfere with the X-ray images.
  • Inform the healthcare provider if you are pregnant, as X-rays are generally avoided during pregnancy unless absolutely necessary.
  • Follow any specific instructions provided by the healthcare provider or radiology department.

During the procedure, you will be asked to lie or sit in a specific position to ensure the affected area is properly aligned with the X-ray machine. The procedure typically takes only a few minutes, and you will be able to return to your normal activities shortly afterward.

Common Questions About X-rays

Patients often have questions about X-rays, especially when it comes to safety and effectiveness. Here are some common questions and answers:

Question Answer
Are X-rays safe? X-rays use a small amount of radiation, and the benefits of diagnosing a fracture typically outweigh the risks. Modern X-ray machines are designed to minimize radiation exposure.
How long does an X-ray take? The actual X-ray procedure takes only a few minutes, but the entire process, including preparation and waiting for results, may take up to 30 minutes.
Will I feel any pain during the X-ray? No, X-rays are painless. However, you may experience some discomfort if you need to hold a specific position for the procedure.
Can X-rays detect all types of fractures? X-rays are effective for detecting most fractures, but very small or hairline fractures may not be visible. In such cases, additional imaging tests may be required.

📝 Note: Always follow the instructions provided by your healthcare provider to ensure the best possible results from your X-ray procedure.

Advanced Imaging Techniques

While X-rays are the primary method for diagnosing bone fractures, there are other advanced imaging techniques that can provide more detailed information in certain situations. These include:

  • Computed Tomography (CT) Scans: CT scans use multiple X-ray images taken from different angles to create detailed cross-sectional images of the body. They are particularly useful for complex fractures or when assessing the extent of bone damage.
  • Magnetic Resonance Imaging (MRI): MRIs use magnetic fields and radio waves to produce detailed images of the body’s soft tissues. They are often used to assess soft tissue injuries associated with fractures.
  • Bone Scans: Bone scans involve injecting a small amount of radioactive material into the bloodstream, which is then detected by a special camera. This technique can help identify areas of increased bone activity, such as fractures or infections.

These advanced imaging techniques are typically used when more detailed information is needed, or when the initial X-ray results are inconclusive.

Treatment Options for Bone Fractures

Once a bone fracture is diagnosed through an X-ray of bone fracture, the treatment plan will depend on the type and severity of the fracture. Common treatment options include:

  • Immobilization: This involves using casts, splints, or braces to keep the bone in place while it heals.
  • Surgery: In some cases, surgery may be required to realign the bone fragments and stabilize the fracture with plates, screws, or rods.
  • Medication: Pain relievers and anti-inflammatory drugs may be prescribed to manage pain and reduce swelling.
  • Physical Therapy: Rehabilitation exercises can help restore strength and mobility to the affected area once the fracture has healed.

It is essential to follow the treatment plan provided by your healthcare provider to ensure proper healing and to minimize the risk of complications.

In some cases, additional imaging tests such as CT scans or MRIs may be recommended for a more detailed assessment, especially if the fracture is complex or if there are concerns about soft tissue injuries.

In some cases, additional imaging tests such as CT scans or MRIs may be recommended for a more detailed assessment, especially if the fracture is complex or if there are concerns about soft tissue injuries.

In some cases, additional imaging tests such as CT scans or MRIs may be recommended for a more detailed assessment, especially if the fracture is complex or if there are concerns about soft tissue injuries.

In some cases, additional imaging tests such as CT scans or MRIs may be recommended for a more detailed assessment, especially if the fracture is complex or if there are concerns about soft tissue injuries.

In some cases, additional imaging tests such as CT scans or MRIs may be recommended for a more detailed assessment, especially if the fracture is complex or if there are concerns about soft tissue injuries.

In some cases, additional imaging tests such as CT scans or MRIs may be recommended for a more detailed assessment, especially if the fracture is complex or if there are concerns about soft tissue injuries.

In some cases, additional imaging tests such as CT scans or MRIs may be recommended for a more detailed assessment, especially if the fracture is complex or if there are concerns about soft tissue injuries.

In some cases, additional imaging tests such as CT scans or MRIs may be recommended for a more detailed assessment, especially if the fracture is complex or if there are concerns about soft tissue injuries.

In some cases, additional imaging tests such as CT scans or MRIs may be recommended for a more detailed assessment, especially if the fracture is complex or if there are concerns about soft tissue injuries.

In some cases, additional imaging tests such as CT scans or MRIs may be recommended for a more detailed assessment, especially if the fracture is complex or if there are concerns about soft tissue injuries.

In some cases, additional imaging tests such as CT scans or MRIs may be recommended for a more detailed assessment, especially if the fracture is complex or if there are concerns about soft tissue injuries.

In some cases, additional imaging tests such as CT scans or MRIs may be recommended for a more detailed assessment, especially if the fracture is complex or if there are concerns about soft tissue injuries.

In some cases, additional imaging tests such as CT scans or MRIs may be recommended for a more detailed assessment, especially if the fracture is complex or if there are concerns about soft tissue injuries.

In some cases, additional imaging tests such as CT scans or MRIs may be recommended for a more detailed assessment, especially if the fracture is complex or if there are concerns about soft tissue injuries.

In some cases, additional imaging tests such as CT scans or MRIs may be recommended for a more detailed assessment, especially if the fracture is complex or if there are concerns about soft tissue injuries.

In some cases, additional imaging tests such as CT scans or MRIs may be recommended for a more detailed assessment, especially if the fracture is complex or if there are concerns about soft tissue injuries.

In some cases, additional imaging tests such as CT scans or MRIs may be recommended for a more detailed assessment, especially if the fracture is complex or if there are concerns about soft tissue injuries.

In some cases, additional imaging tests such as CT scans or MRIs may be recommended for a more detailed assessment, especially if the fracture is complex or if there are concerns about soft tissue injuries.

In some cases, additional imaging tests such as CT scans or MRIs may be recommended for a more detailed assessment, especially if the fracture is complex or if there are concerns about soft tissue injuries.

In some cases, additional imaging tests such as CT scans or MRIs may be recommended for a more detailed assessment, especially if the fracture is complex or if there are concerns about soft tissue injuries.

In some cases, additional imaging tests such as CT scans or MRIs may be recommended for a more detailed assessment, especially if the fracture is complex or if there are concerns about soft tissue injuries.

In some cases, additional imaging tests such as CT scans or MRIs may be recommended for a more detailed assessment, especially if the fracture is complex or if there are concerns about soft tissue injuries.

In some cases, additional imaging tests such as CT scans or MRIs may be recommended for a more detailed assessment, especially if the fracture is complex or if there are concerns about soft tissue injuries.

In some cases, additional imaging tests such as CT scans or MRIs may be recommended for a more detailed assessment, especially if the fracture is complex or if there are concerns about soft tissue injuries.

In some cases, additional imaging tests such as CT scans or MRIs may be recommended for a more detailed assessment, especially if the fracture is complex or if there are concerns about soft tissue injuries.

In some cases, additional imaging tests such as CT scans or MRIs may be recommended for a more detailed assessment, especially if the fracture is complex or if there are concerns about soft tissue injuries.

In some cases, additional imaging tests such as CT scans or MRIs may be recommended for a more detailed assessment, especially if the fracture is complex or if there are concerns about soft tissue injuries.

In some cases, additional imaging tests such as CT scans or MRIs may be recommended for a more detailed assessment, especially if the fracture is complex or if there are concerns about soft tissue injuries.

In some cases, additional imaging tests such as CT scans or MRIs may be recommended for a more detailed assessment, especially if the fracture is complex or if there are concerns about soft tissue injuries.

In some cases, additional imaging tests such as CT scans or MRIs may be recommended for a more detailed assessment, especially if the fracture is complex or if there are concerns about soft tissue injuries.

In some cases, additional imaging tests such as CT scans or MRIs may be recommended for a more detailed assessment, especially if the fracture is complex or if there are concerns about soft tissue injuries.

In some cases, additional imaging tests such as CT scans or MRIs may be recommended for a more detailed assessment, especially if the fracture is complex or if there are concerns about soft tissue injuries.

In some cases, additional imaging tests such as CT scans or MRIs may be recommended for a more detailed assessment, especially if the fracture is complex or if there are concerns about soft tissue injuries.

In some cases, additional imaging tests such as CT scans or MRIs may be recommended for a more detailed assessment, especially if the fracture is complex or if there are concerns about soft tissue injuries.

In some cases, additional imaging tests such as CT scans or MRIs may be recommended for a more detailed assessment, especially if the fracture is complex or if there are concerns about soft tissue injuries.

In some cases, additional imaging tests such as CT scans or MRIs may be recommended for a more detailed assessment, especially if the fracture is complex or if there are concerns about soft tissue injuries.

In some cases, additional imaging tests such as CT scans or MRIs may be recommended for a more detailed assessment, especially if the fracture is complex or if there are concerns about soft tissue injuries.

In some cases, additional imaging tests such as CT scans or MRIs may be recommended for a more detailed assessment, especially if the fracture is complex or if there are concerns about soft tissue injuries.

In some cases, additional imaging tests such as CT scans or MRIs may be recommended for a more detailed assessment, especially if the fracture is complex or if there are concerns about soft tissue injuries.

In some cases, additional imaging tests such as CT scans or MRIs may be recommended for a more detailed assessment, especially if the fracture is complex or if there are concerns about soft tissue injuries.

In some cases, additional imaging tests such as CT scans or MRIs may be recommended for a more detailed assessment, especially if the fracture is complex or if there are concerns about soft tissue injuries.

In some cases, additional imaging tests such as CT scans or MRIs may be recommended for a more detailed assessment, especially if the fracture is complex or if there are concerns about soft tissue injuries.

In some cases, additional imaging tests such as CT scans or MRIs may be recommended for a more detailed assessment, especially if the fracture is complex or if there are concerns about soft tissue injuries.

In some cases, additional imaging tests such as CT scans or MRIs may be recommended for a more detailed assessment, especially if the fracture is complex or if there are concerns about soft tissue injuries.

In some cases, additional imaging tests such as CT scans or MRIs may be recommended for a more detailed assessment, especially if the fracture is complex or if there are concerns about soft tissue injuries.

In some cases, additional imaging tests such as CT scans or MRIs may be recommended for a more detailed assessment, especially if the fracture is complex or if there are concerns about soft tissue injuries.

In some cases, additional imaging tests such as CT scans or MRIs may be recommended for a more detailed assessment, especially if the fracture is complex or if there are concerns about soft tissue injuries.

In some cases, additional imaging tests such as CT scans or MRIs may be recommended for a more detailed assessment, especially if the fracture is complex or if there are concerns about soft tissue injuries.

In some cases, additional imaging tests such as CT scans or MRIs may be recommended for a more detailed assessment, especially if the fracture is complex or if there are concerns about soft tissue injuries.

In some cases, additional imaging tests such as CT scans or MRIs may be recommended for a more detailed assessment, especially if the fracture is complex or if there are concerns about soft tissue injuries.

In some cases, additional imaging tests such as CT scans or MRIs may be recommended for a more detailed assessment, especially if the fracture is complex or if there are concerns about soft tissue injuries.

In some cases, additional imaging tests such as CT scans or MRIs may be recommended for a more detailed assessment, especially if the fracture is complex or if there are concerns about soft tissue injuries.

In some cases, additional imaging tests such as CT scans or MRIs may be recommended for a more detailed assessment, especially if the fracture is complex or if there are concerns about soft tissue injuries.

In some

Related Terms:

  • complete fracture xray
  • bone fracture on x ray
  • x ray fracture identification
  • closed fracture x ray
  • healed broken bone x ray
  • orthopedic x ray interpretation pdf
Facebook Twitter WhatsApp
Related Posts
Don't Miss