Art

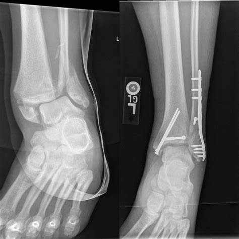
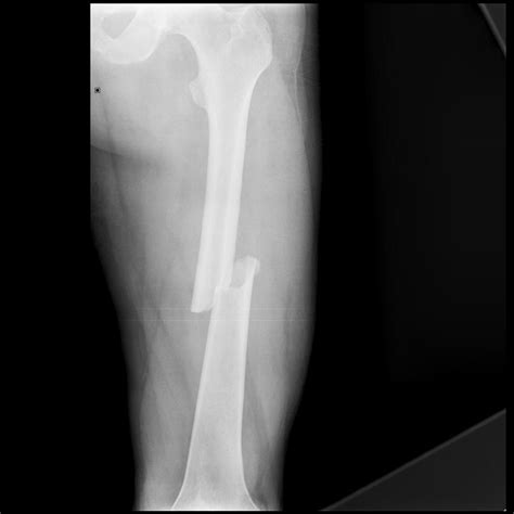
Xray Of Broken Bones

Xray Of Broken Bones
Xray Of Broken Bones

Understanding the intricacies of an Xray of broken bones is crucial for both medical professionals and patients. This diagnostic tool plays a pivotal role in identifying fractures, assessing their severity, and planning appropriate treatment. Whether you are a healthcare provider or someone who has experienced a bone injury, grasping the fundamentals of X-ray imaging can provide valuable insights into the healing process and overall recovery.

What is an X-ray?

An X-ray is a type of electromagnetic radiation that can penetrate through the body to produce images of internal structures. When an X-ray beam passes through the body, different tissues absorb the radiation to varying degrees. Dense structures like bones absorb more radiation and appear white on the X-ray image, while softer tissues like muscles and organs absorb less and appear gray or black.

How X-rays Detect Broken Bones

When a bone is fractured, the continuity of the bone is disrupted, creating visible gaps or misalignments on the X-ray image. These disruptions can range from simple cracks to complex fractures involving multiple bone fragments. The Xray of broken bones helps medical professionals determine the type and extent of the fracture, which is essential for developing an effective treatment plan.

Types of Fractures Visible on X-rays

Fractures can be classified into several types based on their appearance and characteristics. Some of the most common types include:

  • Simple Fractures: These are clean breaks where the bone fragments do not pierce the skin.
  • Compound Fractures: In these cases, the bone fragments break through the skin, increasing the risk of infection.
  • Comminuted Fractures: These involve multiple bone fragments, often requiring surgical intervention.
  • Greenstick Fractures: Common in children, these are incomplete fractures where the bone bends but does not break completely.
  • Stress Fractures: These are tiny cracks in the bone that develop over time due to repetitive stress or overuse.

The Process of Getting an X-ray

Getting an Xray of broken bones is a straightforward process that typically involves the following steps:

  • Preparation: The patient is usually asked to remove any jewelry or metal objects that could interfere with the X-ray images.
  • Positioning: The patient is positioned on the X-ray table, and the affected area is aligned with the X-ray machine.
  • Imaging: The technician takes multiple X-ray images from different angles to capture a comprehensive view of the fracture.
  • Review: The images are reviewed by a radiologist, who provides a detailed report to the treating physician.

πŸ“ Note: It is important to follow the technician's instructions during the X-ray process to ensure accurate and clear images.

Interpreting X-ray Images

Interpreting an Xray of broken bones requires a trained eye and a thorough understanding of bone anatomy. Radiologists look for specific signs of fractures, including:

  • Discontinuity of the Bone: Visible gaps or breaks in the bone structure.
  • Misalignment: Bones that are not properly aligned, indicating a fracture.
  • Overlapping Fragments: Bone fragments that overlap, suggesting a comminuted fracture.
  • Soft Tissue Swelling: Swelling around the fracture site, which can indicate the severity of the injury.

Common Injuries Visible on X-rays

In addition to fractures, X-rays can reveal other types of injuries and conditions. Some common examples include:

  • Dislocations: Joints that are out of their normal position.
  • Sprains and Strains: While these do not show up on X-rays, they can sometimes be inferred from the presence of swelling or misalignment.
  • Bone Tumors: Abnormal growths that can be detected through X-ray imaging.
  • Osteoporosis: A condition characterized by reduced bone density, which can be assessed through X-ray images.

Advanced Imaging Techniques

While X-rays are the primary tool for diagnosing fractures, other imaging techniques can provide more detailed information in certain cases. These include:

  • Computed Tomography (CT) Scans: Provide cross-sectional images of the body, offering a more detailed view of complex fractures.
  • Magnetic Resonance Imaging (MRI): Useful for assessing soft tissue injuries and stress fractures that may not be visible on X-rays.
  • Bone Scans: Involve injecting a radioactive tracer to detect areas of increased bone activity, which can indicate fractures or other bone abnormalities.

Treatment and Recovery

Once a fracture is identified through an Xray of broken bones, the treatment plan is tailored to the type and severity of the injury. Common treatment options include:

  • Immobilization: Using casts, splints, or braces to keep the bone in place while it heals.
  • Surgery: In cases of complex or displaced fractures, surgical intervention may be required to realign the bone fragments.
  • Physical Therapy: Exercises and rehabilitation to restore strength and mobility.
  • Medication: Pain relievers and anti-inflammatory drugs to manage discomfort and reduce swelling.

πŸ“ Note: Following the prescribed treatment plan and attending follow-up appointments is crucial for a successful recovery.

Preventing Future Injuries

Preventing future bone injuries involves a combination of lifestyle choices and safety measures. Some key strategies include:

  • Regular Exercise: Strengthening bones and muscles through weight-bearing exercises.
  • Balanced Diet: Consuming a diet rich in calcium and vitamin D to support bone health.
  • Safety Gear: Using protective equipment during sports and other high-risk activities.
  • Fall Prevention: Taking steps to prevent falls, especially for older adults, such as removing tripping hazards and installing grab bars in bathrooms.

Conclusion

An Xray of broken bones is an essential diagnostic tool that provides valuable information about the type and severity of fractures. Understanding the process of X-ray imaging, interpreting the results, and following the recommended treatment plan are crucial steps in the recovery process. By taking proactive measures to prevent future injuries, individuals can maintain strong and healthy bones throughout their lives.

Related Terms:

  • closed fracture x ray
  • x ray fracture identification
  • x ray images of bones
  • fracture x ray interpretation
  • broken leg bone x ray
  • broken bones on x ray
Facebook Twitter WhatsApp
Related Posts
Don't Miss