Tooth Attrition Attrition – MedCyclopedia
Art

Tooth Attrition Attrition – MedCyclopedia

1440 × 1440px October 12, 2025 Ashley
Download

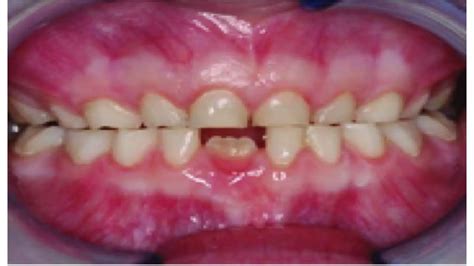
Dental health is a critical aspect of overall well-being, and one of the most concerning issues in this realm is the attrition of teeth. This condition, characterized by the gradual wearing down of tooth enamel, can lead to a host of problems if left untreated. Understanding the causes, symptoms, and treatments for tooth attrition is essential for maintaining good oral health.

Understanding Tooth Attrition

Tooth attrition refers to the loss of tooth structure due to mechanical forces, such as grinding or clenching. Unlike other forms of tooth wear, such as erosion caused by acids or abrasion from improper brushing, attrition is primarily a result of physical forces. This condition can affect anyone, but it is more common in individuals who grind their teeth, have misaligned bites, or suffer from stress-related habits.

Causes of Tooth Attrition

Several factors contribute to the attrition of teeth. Understanding these causes can help in preventing and managing the condition:

  • Bruxism: This is the medical term for teeth grinding or clenching, often occurring during sleep. Bruxism can exert significant pressure on the teeth, leading to attrition over time.
  • Malocclusion: Misaligned teeth or an improper bite can cause excessive wear and tear on the teeth. This is often due to genetic factors or habits developed during childhood.
  • Stress: High levels of stress can lead to teeth grinding or clenching, exacerbating the problem of tooth attrition.
  • Hard Foods: Consuming hard foods or using teeth as tools (e.g., opening bottles) can accelerate the wearing down of tooth enamel.

Symptoms of Tooth Attrition

Recognizing the symptoms of tooth attrition is crucial for early intervention. Some common signs include:

  • Increased tooth sensitivity to hot, cold, or sweet foods and beverages.
  • Visible wear and tear on the teeth, such as flattened or chipped surfaces.
  • Changes in the appearance of the teeth, including a shorter or more pointed shape.
  • Jaw pain or discomfort, often due to the strain of grinding or clenching.
  • Headaches or earaches, which can be related to the tension in the jaw muscles.

Diagnosing Tooth Attrition

Diagnosing tooth attrition typically involves a thorough dental examination. The dentist will:

  • Examine the teeth for signs of wear and tear.
  • Assess the bite and jaw alignment.
  • Review the patient's medical and dental history, including any habits or conditions that may contribute to attrition.
  • Take X-rays or other diagnostic images to evaluate the extent of the damage.

Treatment Options for Tooth Attrition

Treatment for tooth attrition depends on the severity of the condition and the underlying causes. Common treatment options include:

  • Dental Crowns or Fillings: These can be used to restore the shape and function of worn-down teeth.
  • Dental Bonding: This procedure involves applying a tooth-colored resin to the affected teeth to rebuild the lost structure.
  • Night Guards: Custom-made mouth guards can protect the teeth from grinding or clenching during sleep.
  • Orthodontic Treatment: Braces or aligners can correct misaligned teeth and improve bite alignment, reducing the risk of further attrition.
  • Stress Management: Techniques such as meditation, yoga, or counseling can help reduce stress-related teeth grinding.

Preventing Tooth Attrition

Preventing tooth attrition involves a combination of good oral hygiene, lifestyle changes, and regular dental check-ups. Here are some tips to help prevent attrition:

  • Practice good oral hygiene by brushing and flossing regularly.
  • Avoid hard foods and using teeth as tools.
  • Wear a mouth guard during sports or other activities that may cause tooth damage.
  • Manage stress through relaxation techniques or professional help.
  • Schedule regular dental check-ups to monitor oral health and address any issues early.

The Impact of Tooth Attrition on Overall Health

Tooth attrition can have significant implications for overall health. The wear and tear on the teeth can lead to:

  • Increased sensitivity and discomfort.
  • Difficulty chewing and digesting food, which can affect nutrition.
  • Changes in facial appearance, which can impact self-esteem.
  • Potential damage to the jaw joints, leading to temporomandibular joint (TMJ) disorders.

Moreover, the underlying causes of tooth attrition, such as stress and bruxism, can also affect mental and physical health. Addressing these issues can improve overall well-being and quality of life.

Case Studies and Real-Life Examples

To better understand the impact of tooth attrition, let's look at a few real-life examples:

Patient Cause of Attrition Treatment Outcome
John D. Bruxism due to stress Night guard and stress management techniques Reduced tooth sensitivity and improved sleep quality
Emily L. Malocclusion Orthodontic treatment with braces Corrected bite alignment and reduced wear on teeth
Michael R. Hard foods and improper brushing Dental bonding and education on proper oral hygiene Restored tooth structure and improved oral health

These cases illustrate the diverse causes and effective treatments for tooth attrition, highlighting the importance of personalized dental care.

💡 Note: Individual results may vary, and it is essential to consult with a dental professional for personalized advice and treatment.

Tooth attrition is a common but often overlooked dental issue that can significantly impact oral health and overall well-being. By understanding the causes, symptoms, and treatments for tooth attrition, individuals can take proactive steps to prevent and manage this condition. Regular dental check-ups, good oral hygiene, and addressing underlying issues such as stress and bruxism are key to maintaining healthy teeth and a beautiful smile.

Related Terms:

  • what causes attrition on teeth
  • attrition of teeth meaning
  • excessive wear on teeth
  • attrition vs abrasion teeth
  • how to prevent tooth attrition
  • attrition vs abfraction
Art
More Images
Tooth Attrition Attrition – MedCyclopedia
Tooth Attrition Attrition – MedCyclopedia
1440×1440
ATTRITION OF TEETH (Regressive Alterations of Teeth) | PPTX
ATTRITION OF TEETH (Regressive Alterations of Teeth) | PPTX
2048×1152
Attrition Teeth
Attrition Teeth
1500×1101
Opi 1-introduction-tooth abnormalities | PPTX
Opi 1-introduction-tooth abnormalities | PPTX
2048×1536
Restorative Solutions for Teeth Grinding & Wear
Restorative Solutions for Teeth Grinding & Wear
1536×1024
ATTRITION OF TEETH (Regressive Alterations of Teeth) | PPTX
ATTRITION OF TEETH (Regressive Alterations of Teeth) | PPTX
2048×1152
Tooth wear final | PPTX
Tooth wear final | PPTX
2048×1152
ATTRITION OF TEETH (Regressive Alterations of Teeth) | PPTX
ATTRITION OF TEETH (Regressive Alterations of Teeth) | PPTX
2048×1152
ATTRITION OF TEETH (Regressive Alterations of Teeth) | PPTX
ATTRITION OF TEETH (Regressive Alterations of Teeth) | PPTX
2048×1152
ATTRITION OF TEETH (Regressive Alterations of Teeth) | PPTX
ATTRITION OF TEETH (Regressive Alterations of Teeth) | PPTX
2048×1152
325 Attrition Tooth Images, Stock Photos & Vectors | Shutterstock
325 Attrition Tooth Images, Stock Photos & Vectors | Shutterstock
1500×1245
Tooth attrition; Dental Attrition
Tooth attrition; Dental Attrition
1600×1061
ATTRITION OF TEETH (Regressive Alterations of Teeth) | PPTX
ATTRITION OF TEETH (Regressive Alterations of Teeth) | PPTX
2048×1152
ATTRITION OF TEETH (Regressive Alterations of Teeth) | PPTX
ATTRITION OF TEETH (Regressive Alterations of Teeth) | PPTX
2048×1152
Attrition Teeth
Attrition Teeth
1920×1080
Teeth abnormalities ii | PPT
Teeth abnormalities ii | PPT
2048×1536
Attrition | Good Living Medical Centre
Attrition | Good Living Medical Centre
1025×1025
199.CONGENITAL ANOMALIES OF TEETH an INTRO.pptx
199.CONGENITAL ANOMALIES OF TEETH an INTRO.pptx
2048×1536
Tooth Wear: Causes, Types & How to Protect Your Smile in UK
Tooth Wear: Causes, Types & How to Protect Your Smile in UK
1536×1024
Enamel _ Ashel _ up . pptx | PPTX
Enamel _ Ashel _ up . pptx | PPTX
2048×1152
ATTRITION OF TEETH (Regressive Alterations of Teeth) | PPTX
ATTRITION OF TEETH (Regressive Alterations of Teeth) | PPTX
2048×1152
ATTRITION OF TEETH (Regressive Alterations of Teeth) | PPTX
ATTRITION OF TEETH (Regressive Alterations of Teeth) | PPTX
2048×1152
325 Attrition Tooth Images, Stock Photos & Vectors | Shutterstock
325 Attrition Tooth Images, Stock Photos & Vectors | Shutterstock
1500×1600
Dental attrition
Dental attrition
1600×1064
Dental Attrition Bruxism Resulting in Loss of Tooth Tissue. Medically ...
Dental Attrition Bruxism Resulting in Loss of Tooth Tissue. Medically ...
1600×1210
Tooth Wear Erosion at Leslie Green blog
Tooth Wear Erosion at Leslie Green blog
2560×1536
Enamel _ Ashel _ up . pptx | PPTX
Enamel _ Ashel _ up . pptx | PPTX
2048×1152
PPT - Tooth Wear and BEWE PowerPoint Presentation, free download - ID ...
PPT - Tooth Wear and BEWE PowerPoint Presentation, free download - ID ...
2560×1440
Attrition Treatment Comparison Illustration Vector On Blue Background ...
Attrition Treatment Comparison Illustration Vector On Blue Background ...
1600×1690
Dental Attrition Bruxism Resulting in Loss of Tooth Tissue. Medically ...
Dental Attrition Bruxism Resulting in Loss of Tooth Tissue. Medically ...
1600×1311
Tooth Attrition
Tooth Attrition
4288×2848
ATTRITION OF TEETH (Regressive Alterations of Teeth) | PPTX
ATTRITION OF TEETH (Regressive Alterations of Teeth) | PPTX
2048×1152
Non carious tooth lesions | PPTX
Non carious tooth lesions | PPTX
2048×1536
Attrition Treatment Comparison Illustration Vector On Blue Background ...
Attrition Treatment Comparison Illustration Vector On Blue Background ...
1600×1110
325 Attrition Tooth Images, Stock Photos & Vectors | Shutterstock
325 Attrition Tooth Images, Stock Photos & Vectors | Shutterstock
1500×1600
ATTRITION OF TEETH (Regressive Alterations of Teeth) | PPTX
ATTRITION OF TEETH (Regressive Alterations of Teeth) | PPTX
2048×1152
ATTRITION OF TEETH (Regressive Alterations of Teeth) | PPTX
ATTRITION OF TEETH (Regressive Alterations of Teeth) | PPTX
2048×1152
Tooth attrition | PPTX
Tooth attrition | PPTX
2048×1152
325 Attrition Tooth Images, Stock Photos & Vectors | Shutterstock
325 Attrition Tooth Images, Stock Photos & Vectors | Shutterstock
1500×1245
ATTRITION OF TEETH (Regressive Alterations of Teeth) | PPTX
ATTRITION OF TEETH (Regressive Alterations of Teeth) | PPTX
2048×1152