Healthy Gums
Art

Healthy Gums

2000 × 1333px February 12, 2026 Ashley
Download

Maintaining good oral health is crucial for overall well-being, and one of the key indicators of a healthy mouth is the condition of your gums. Healthy gums are essential for preventing gum disease, tooth loss, and other oral health issues. Understanding what pictures of healthy gums look like and how to maintain them can significantly improve your dental health. This guide will walk you through the signs of healthy gums, how to care for them, and what to do if you notice any issues.

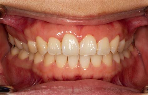
What Do Healthy Gums Look Like?

Healthy gums are typically characterized by several key features. Knowing these features can help you identify whether your gums are in good condition. Here are some signs of healthy gums:

  • Color: Healthy gums are usually a coral pink color. This color indicates good blood flow and overall health.
  • Texture: The surface of healthy gums is smooth and firm, not spongy or swollen.
  • Shape: Healthy gums fit snugly around the teeth, forming a tight seal. There should be no gaps or pockets between the gums and the teeth.
  • Bleeding: Healthy gums do not bleed during brushing or flossing. If your gums bleed, it may be a sign of gum disease.

If you are unsure about the health of your gums, it's a good idea to compare pictures of healthy gums with your own. This can help you identify any discrepancies and take appropriate action.

Caring for Your Gums

Proper oral hygiene is essential for maintaining healthy gums. Here are some steps you can take to care for your gums:

  • Brush Regularly: Brush your teeth at least twice a day using a soft-bristled toothbrush. This helps remove plaque and bacteria that can cause gum disease.
  • Floss Daily: Flossing helps remove food particles and plaque from between your teeth and under the gumline. This is an area that your toothbrush can't reach.
  • Use Mouthwash: Incorporate an antiseptic mouthwash into your daily routine. This can help kill bacteria and reduce the risk of gum disease.
  • Regular Dental Check-ups: Visit your dentist every six months for a professional cleaning and check-up. This helps detect any issues early and ensures your gums stay healthy.
  • Healthy Diet: Eat a balanced diet rich in fruits, vegetables, and lean proteins. Avoid sugary and acidic foods that can harm your teeth and gums.

By following these steps, you can maintain healthy gums and prevent gum disease. Regular care and attention to your oral health will pay off in the long run.

Common Gum Issues and Their Solutions

Even with proper care, gum issues can arise. Recognizing the signs of common gum problems and knowing how to address them can help you maintain good oral health. Here are some common gum issues and their solutions:

Gingivitis

Gingivitis is the early stage of gum disease. It is characterized by red, swollen gums that may bleed during brushing or flossing. If left untreated, gingivitis can progress to periodontitis, a more serious form of gum disease.

To treat gingivitis, follow these steps:

  • Improve your oral hygiene routine by brushing and flossing more regularly.
  • Use an antiseptic mouthwash to kill bacteria.
  • Visit your dentist for a professional cleaning and to discuss treatment options.

🔍 Note: Early treatment of gingivitis can prevent it from progressing to periodontitis, which is more difficult to treat.

Periodontitis

Periodontitis is a more advanced stage of gum disease. It is characterized by deep pockets between the gums and teeth, which can lead to tooth loss if not treated. Symptoms include:

  • Persistent bad breath.
  • Loose teeth.
  • Receding gums.
  • Pus between the teeth and gums.

To treat periodontitis, follow these steps:

  • Visit your dentist for a thorough evaluation and treatment plan.
  • Undergo deep cleaning procedures, such as scaling and root planing.
  • Consider surgical options if necessary, such as flap surgery or bone grafts.

🔍 Note: Periodontitis requires professional treatment and cannot be managed with home care alone.

Gum Recession

Gum recession occurs when the gum tissue pulls away from the teeth, exposing the roots. This can lead to tooth sensitivity and an increased risk of decay. Causes of gum recession include:

  • Aggressive brushing.
  • Poor oral hygiene.
  • Genetics.
  • Gum disease.

To treat gum recession, follow these steps:

  • Improve your oral hygiene routine.
  • Use a soft-bristled toothbrush and gentle brushing technique.
  • Consider gum grafting surgery if the recession is severe.

🔍 Note: Gum recession can be prevented by maintaining good oral hygiene and avoiding aggressive brushing.

When to Seek Professional Help

While regular oral care can prevent many gum issues, there are times when professional help is necessary. If you notice any of the following signs, it's important to schedule an appointment with your dentist:

  • Persistent bad breath.
  • Bleeding gums.
  • Swollen or tender gums.
  • Loose teeth.
  • Receding gums.
  • Pus between the teeth and gums.

Your dentist can provide a thorough evaluation and recommend appropriate treatment options. Early intervention can prevent minor issues from becoming major problems.

The Importance of Pictures of Healthy Gums

Pictures of healthy gums can be a valuable tool for understanding what your gums should look like. By comparing your gums to pictures of healthy gums, you can identify any discrepancies and take appropriate action. This visual reference can help you:

  • Recognize the signs of healthy gums.
  • Identify potential issues early.
  • Monitor changes in your gum health over time.

If you are unsure about the health of your gums, consider looking at pictures of healthy gums for reference. This can help you make informed decisions about your oral health and seek professional help if necessary.

Maintaining Long-Term Gum Health

Maintaining long-term gum health requires a consistent effort. Here are some tips to help you keep your gums healthy over the long term:

  • Consistent Oral Hygiene: Brush and floss regularly to remove plaque and bacteria.
  • Regular Dental Check-ups: Visit your dentist every six months for a professional cleaning and check-up.
  • Healthy Lifestyle: Maintain a balanced diet and avoid smoking, as it can increase the risk of gum disease.
  • Stay Hydrated: Drink plenty of water to keep your mouth moist and wash away food particles.

By following these tips, you can maintain healthy gums and prevent gum disease. Regular care and attention to your oral health will pay off in the long run.

In addition to regular care, it's important to be aware of any changes in your gum health. If you notice any signs of gum disease, such as bleeding, swelling, or tenderness, seek professional help immediately. Early intervention can prevent minor issues from becoming major problems.

Remember, pictures of healthy gums can be a valuable tool for understanding what your gums should look like. By comparing your gums to pictures of healthy gums, you can identify any discrepancies and take appropriate action. This visual reference can help you make informed decisions about your oral health and seek professional help if necessary.

In conclusion, maintaining healthy gums is essential for overall oral health. By understanding what pictures of healthy gums look like and following proper oral hygiene practices, you can prevent gum disease and keep your gums in good condition. Regular care, professional check-ups, and a healthy lifestyle are key to long-term gum health. If you notice any signs of gum disease, seek professional help immediately to prevent minor issues from becoming major problems. With consistent effort and attention, you can maintain healthy gums and enjoy a lifetime of good oral health.

Related Terms:

  • images of receding gums
  • early stage gum disease pictures
  • pictures of gingivitis gum disease
  • swollen gums images
  • picture of normal gums
  • healthy vs unhealthy gum tissue
Art
More Images
Receding Gums vs Healthy Gums: See the Differences with Images
Receding Gums vs Healthy Gums: See the Differences with Images
2240×1260
What You Can Do Everyday for Healthy Gums
What You Can Do Everyday for Healthy Gums
1620×1080
Healthy Gums
Healthy Gums
2000×1333
What You Can Do Everyday for Healthy Gums
What You Can Do Everyday for Healthy Gums
1620×1080
10 Essential Periodontal Treatments for Healthy Gums
10 Essential Periodontal Treatments for Healthy Gums
2300×1434
Healthy Gum Color Chart
Healthy Gum Color Chart
2048×1536
Know the Signs of Healthy Gums and Gum Disease | Ultimate Smile
Know the Signs of Healthy Gums and Gum Disease | Ultimate Smile
1024×2560
CloSYS Healthy Gums Mouthwash | CloSYS
CloSYS Healthy Gums Mouthwash | CloSYS
1512×1900
Healthy Dog Gums Vs Unhealthy: The Secret Signals You Must Know!
Healthy Dog Gums Vs Unhealthy: The Secret Signals You Must Know!
1024×1024
What Color Are Healthy Gums - colorscombo.com
What Color Are Healthy Gums - colorscombo.com
1024×1024
What Do Healthy Gums Look Like? — Nova Smiles
What Do Healthy Gums Look Like? — Nova Smiles
2048×1365
Receding Gums vs Healthy Gums: See the Differences with Images
Receding Gums vs Healthy Gums: See the Differences with Images
2240×1260
Healthy Bottom Teeth Gums at Loren Bona blog
Healthy Bottom Teeth Gums at Loren Bona blog
2000×1283
Pin by Christina Bennett on Dental | Healthy teeth, Gum health, Tooth ...
Pin by Christina Bennett on Dental | Healthy teeth, Gum health, Tooth ...
1080×1920
8 Essential Tips for Maintaining Healthy Gums - Vistadent
8 Essential Tips for Maintaining Healthy Gums - Vistadent
1950×1112
Learn the Symptoms, Risks, and Treatment for Gum Disease - Docklands ...
Learn the Symptoms, Risks, and Treatment for Gum Disease - Docklands ...
2000×1325
Vitalvéto Health Gums Worm Purging per gatti
Vitalvéto Health Gums Worm Purging per gatti
1200×1816
Receding Gums vs Healthy Gums: See the Differences with Images
Receding Gums vs Healthy Gums: See the Differences with Images
2240×1260
Free Shipping! Closys Healthy Gums Mouthwash Non-Irritating Antiplaque ...
Free Shipping! Closys Healthy Gums Mouthwash Non-Irritating Antiplaque ...
1500×1500
Early Signs of Gum Disease and Causes | Oral-B
Early Signs of Gum Disease and Causes | Oral-B
3000×1556
Healthy Cat Gums
Healthy Cat Gums
3024×4032
The 6 Ways To Keep Your Gums Healthy - Healthline PDFs - Healthy Teeth ...
The 6 Ways To Keep Your Gums Healthy - Healthline PDFs - Healthy Teeth ...
1280×1079
Early Signs of Gum Disease and Causes | Oral-B
Early Signs of Gum Disease and Causes | Oral-B
3000×1556
What Color Should My Gums Be - colorscombo.com
What Color Should My Gums Be - colorscombo.com
1024×1024
Dental Health: Incredible Steps to Take for Healthy Teeth and Gums ...
Dental Health: Incredible Steps to Take for Healthy Teeth and Gums ...
2048×1152
Healthy Dog Gums Revolution: Transforming Pet Health With Care
Healthy Dog Gums Revolution: Transforming Pet Health With Care
1024×1024
How To Improve Teeth Gums at Dorothy Bufkin blog
How To Improve Teeth Gums at Dorothy Bufkin blog
1080×1920
Know the Signs of Healthy Gums and Gum Disease | Ultimate Smile
Know the Signs of Healthy Gums and Gum Disease | Ultimate Smile
1024×2560
Healthy Gums Mouthwash, Antiplaque and Antigingivitis for Gum Health ...
Healthy Gums Mouthwash, Antiplaque and Antigingivitis for Gum Health ...
1500×1500
Healthy Gums Vs Receding Gums
Healthy Gums Vs Receding Gums
1080×1080
Too Much of This Food May Harm Your Oral Health, New Study Says—and It ...
Too Much of This Food May Harm Your Oral Health, New Study Says—and It ...
4000×2667
Learn the Symptoms, Risks, and Treatment for Gum Disease - Docklands ...
Learn the Symptoms, Risks, and Treatment for Gum Disease - Docklands ...
2000×1325
What Causes Receding Gums? - Kaufman Dentistry
What Causes Receding Gums? - Kaufman Dentistry
1536×1024
How Do Healthy Gums Look Like? - Shoplible
How Do Healthy Gums Look Like? - Shoplible
1920×1610
Gum Health Warning Signs: What Your Gums Reveal About Your Oral Health
Gum Health Warning Signs: What Your Gums Reveal About Your Oral Health
1920×1080
Healthy Bottom Teeth Gums at Loren Bona blog
Healthy Bottom Teeth Gums at Loren Bona blog
3200×1901
Healthy Gums Vs Unhealthy Gums
Healthy Gums Vs Unhealthy Gums
1388×1600
Receding Gums vs Healthy Gums: See the Differences with Images
Receding Gums vs Healthy Gums: See the Differences with Images
2240×1260
What Do Healthy Gums Look Like? — Nova Smiles
What Do Healthy Gums Look Like? — Nova Smiles
2048×1365
healthy gums Keep your gums healthy with your dentist in el reno ...
healthy gums Keep your gums healthy with your dentist in el reno ...
2000×1283